La obra se engloba dentro del género Texto-Atlas, donde he recopilado los aspectos clínico-morfológicos de las lesiones benignas y malignas que tienen lugar en la glándula tiroides.Durante mi formación como residente mostré especial predilección por la endocrinopatología, razón por la que he venido recopilando una importante casuística en torno al tema y, que por supuesto representa la materia prima más importante en la elaboración de esta obra. Considero oportuno mencionar mi participación en diversas comisiones y grupos de trabajo relacionado con la tiroidología, como por ejemplo el grupo de Endocrine-patholog. La obra consta de 14 capítulos donde se aborda de manera práctica e ilustrada los aspectos más relevantes y actuales de cada una de las diferentes patologías. Con todo ello, mi pretensión es la de plasmar la experiencia adquirida a lo largo de los años, además de mencionar los aportes y controversias que ha habido en diferentes entidades, como por ejemplo enlas variantes del carcinoma papilar, el tumor trabecular hialinizante y por último en los tumores foliculares de comportamiento incierto, entre otras.En general, el lector será documentado minuciosamente y con rigurosa información, con variadas y detalladas explicaciones de las lesiones inflamatorias, neoplásicas y metastásicas de la glándula tiroidea, así como el papel que ha venido jugando la patología molecular y la inmunohistoquímica en el esclarecimiento de la patogénesis tumoral. Agradecer de antemano el interés mostrado en mi libro y me complace mucho si este se convierte en una herramienta de consulta.

- 288 páginas
- Spanish
- ePUB (apto para móviles)
- Disponible en iOS y Android
eBook - ePub
Descripción del libro
Cuenta con la confianza de 375,005 estudiantes
Acceso a más de 1 millón de títulos por un precio mensual asequible.
Estudia de forma más eficiente usando nuestras herramientas de estudio.
Información
Categoría
MedicineCategoría
Clinical MedicineCapítulo 1



Desarrollo Embriológico
y Anatomía de la
Glándula Tiroides
y Anatomía de la
Glándula Tiroides
Como casi todas las glándulas, el tiroides se deriva de la capa germinal llamada endodermo. El brote se origina del tejido vesicular bilateral en el foramen cecum de la lengua, y es identificado alrededor del día 17° del desarrollo en la faringe fetal en fuerte asociación con el corazón. Luego y conectado al conducto tirogloso, lleva a cabo un descenso hacia su localización definitiva en la región anterior del cuello.
Alrededor de la 8a semana empieza a reconocerse la estructura tubular característica y entre la 12a y 14a semana hay desarrollo de folículos tiroideos con producción de coloide, sobre todo en la periferia. Ya hay concentración de yodo en esta fecha. Además, aparecen las células interfoliculares (células C) que son derivadas de la cresta neural (y que se mantienen de por vida). A medida que el feto crece y se desarrolla, los folículos aumentan en cantidad y tamaño. A la edad de 14 semanas se dice que el tiroides ya funciona. Hay pruebas que demuestran que embarazadas hipotiroideas mejoran su sintomatología y hasta requieren menor dosis de mantenimiento de la hormona tiroidea; esto se debe a que las hormonas fetales compensan el déficit de la madre. Es una excelente muestra de la mutua relación madre-hijo.
Tiroides ectópico se refiere a la presencia de tejido tiroideo fuera de su localización anatómica habitual. La localización lingual es la más frecuente (85-90 % de los casos). En la mayoría de los pacientes, este es el único tejido tiroideo del cuerpo. Otras localizaciones son la infralingual, intralaríngea, pericárdica, esofágica, intratorácica, en glándulas suprarrenales, músculos cervicales laterales, porta hepatis y como componente de los teratomas (el ejemplo más llamativo es el struma ovarii). El tiroides intralaríngeo es muy infrecuente, representando alrededor del 5 % de todos los tumores laringotraqueales (125 casos reportados hasta la fecha).(2, 8)
Es más frecuente en mujeres adultas que consultaron por dificultad respiratoria progresiva, muchas veces diagnosticada como asma o bronquitis. La localización intralaringotraqueal habitual es la pared posterolateral izquierda. Macroscópicamente, es una masa redondeada de color rojo-violáceo que puede estar erosionada, ulcerada y con red vascular prominente.
En el diagnóstico diferencial hay que tener en cuenta el carcinoma escamoso subglótico, el carcinoma adenoideo quístico, la tuberculosis, la sífilis, amiloidosis, angiomas, fibromas, papilomas, lipomas y tumores cartilagíneos. El tratamiento de elección es el quirúrgico.
Si este es el único tiroides en el organismo y es además funcionante, se puede autoimplantar bajo el músculo esternocleidomastoideo.
El autor ha publicado un caso de carcinoma papilar del tiroides desarrollado sobre tejido ectópico en un quiste branquial.
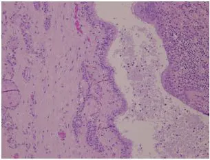
El conducto tirogloso está destinado a estrecharse y atrofiarse (entre la 8a y la 10a semana de la vida embrionaria). Hasta en un 7 % de la población normal, según series de autopsias, se ha demostrado la persistencia del conducto tirogloso. Fallos en el proceso de obliteración pueden dar origen a quistes, fístulas e infecciones. El quiste del conducto tirogloso está tapizado por epitelio respiratorio ciliado con frecuentes focos de metaplasia escamosa. En la pared del quiste se reconoce parénquima tiroideo, donde pueden desarrollarse tumores malignos, como el carcinoma papilar, y procesos benignos, como la hiperplasia. En diferentes series de pacientes operados por quistes tiroglosos, la incidencia de carcinoma diferenciado de tiroides fue del 0,7 al 1,07 %. Desde 1911 hasta la actualidad se han comunicado alrededor de 350 casos en la literatura mundial. El tratamiento de elección es la escisión quirúrgica.(2, 4)

Fig. 1. Niña de 4 años con tiroides lingual (gentileza de la Dra. Katia Moreno)

Fig. 2. Aspecto macroscópico del tumor (gentileza de la Dra. Katia Moreno)

Fig. 3. Pared de un quiste tirogloso. Obsérvese la presencia de tejido tiroideo y, a la izquierda, el epitelio ciliado que tapiza la cavidad quística. (HE 10X)
El tiroides es una glándula impar, de color pardo rojizo y de aspecto carnoso, cubierta en su totalidad por una delgada cápsula fibroconectiva desde donde salen delgados septos (por donde viajan vasos y nervios) que penetran el parénquima, dividiéndolo en pseudolóbulos. Está ubicado en la región anterior del cuello, extendiéndose hacia abajo desde el nivel de la quinta vértebra cervical hacia la primera toráxica. Su peso en promedio es de unos 25 a 30 gramos. Tiene forma de H, con dos lóbulos; el derecho y el izquierdo, unidos por el istmo (con un promedio de 12 a 15 mm), pudiendo ocasionalmente estar ausente. Cada lóbulo mide entre 50 y 60 mm de longitud y tiene un polo superior y otro inferior. La glándula crece de manera transitoria durante la pubertad, el embarazo y la lactancia. La región posterolateral del tiroides es ligeramente más firme que el resto de la glándula y contacta con el primer y segundo anillos traqueales por el ligamento suspensorio. La firmeza con que está adherida la glándula es responsable por los movimientos del tiroides durante la deglución.
Del istmo, con relativa frecuencia asciende un lóbulo piramidal que puede estar fijo a la tráquea por tejido fibromuscular. En el tiroides podemos encontrar una serie de tejidos que cuando no son muy abundantes y no distorsionan demasiado la glándula, no tienen traducción clínica; entre ellos tenemos fascículos de músculo esquelético, cartílago maduro, tejido paratiroideo, grasa y timo.
La irrigación sanguínea del tiroides está garantizada por las arterias tiroidea superior, la tiroidea inferior y una rica red de colaterales que se distribuyen por toda la glándula, haciéndola muy vascularizada. La arteria tiroidea superior es la primera rama de la arteria carótida externa. La rama externa del nervio laríngeo superior acompaña a la arteria tiroidea superior y si esta es ligada accidentalmente en su porción más alta durante la tiroidectomía, se corre el riesgo de lesionar el nervio, pudiendo provocar disfonía. La tiroidea inferior se origina de la arteria subclavia. Esta arteria tiene una relación variable con el nervio recurrente laríngeo...
Índice
- Cubierta
- Portada
- Derechos de Autor
- Indice
- Prefacio
- Introducción
- Capítulo 1. Embriología. Anomalías del desarrollo. Anatomía e histología. Dishormonogénesis
- Capítulo 2. Técnicas auxiliares en la evaluación de un nódulo tiroideo. La punción-biopsia con aguja fina del tiroides (PAAF)
- Capítulo 3. Lesiones inflamatorias del tiroides. Lesiones autoinmunes del tiroides. Linfoma primario del tiroides
- Capítulo 4. Lesiones neoplásicas benignas
- Capítulo 5. Cáncer de tiroides
- Capítulo 6. Patología molecular e inmunohistoquímica de las lesiones benignas y malignas del tiroides
- Capítulo 7. Carcinoma papilar del tiroides. Variantes del carcinoma papilar
- Capítulo 8. Carcinoma folicular del tiroides. Carcinoma de Huthle (oncocítico)
- Capítulo 9. Carcinoma pobremente diferenciado del tiroides
- Capítulo 10. Carcinoma anaplásico del tiroides
- Capítulo 11. Lesiones derivadas de las células C. Carcinoma medular del tiroides
- Capítulo 12. Otros carcinomas tiroideos
- Capítulo 13. Tumores poco frecuentes no derivados del epitelio folicular
- Capítulo 14. Tumores mesenquimáticos del tiroides
- Capítulo 15. Tumores secundarios del tiroides (metástasis)
- Índice temático
Preguntas frecuentes
Sí, puedes cancelar tu suscripción en cualquier momento desde la pestaña Suscripción en los ajustes de tu cuenta en el sitio web de Perlego. La suscripción seguirá activa hasta que finalice el periodo de facturación actual. Descubre cómo cancelar tu suscripción
No, los libros no se pueden descargar como archivos externos, como los PDF, para usarlos fuera de Perlego. Sin embargo, puedes descargarlos en la aplicación de Perlego para leerlos sin conexión en el móvil o en una tableta. Descubre cómo descargar libros para leer sin conexión
Perlego ofrece dos planes: Essential y Complete
- El plan Essential es ideal para los estudiantes y los profesionales a los que les gusta explorar una amplia gama de temas. Accede a la biblioteca Essential, con más de 800 000 títulos de confianza y superventas sobre negocios, crecimiento personal y humanidades. Incluye un tiempo de lectura ilimitado y la voz estándar de «Lectura en voz alta».
- Complete: perfecto para los estudiantes avanzados y los investigadores que necesitan un acceso completo sin ningún tipo de restricciones. Accede a más de 1,4 millones de libros sobre cientos de temas, incluidos títulos académicos y especializados. El plan Complete también incluye funciones avanzadas como la lectura en voz alta prémium y el asistente de investigación.
Somos un servicio de suscripción de libros de texto en línea que te permite acceder a toda una biblioteca en línea por menos de lo que cuesta un libro al mes. Con más de un millón de libros sobre más de 990 categorías, ¡tenemos todo lo que necesitas! Descubre nuestra misión
Busca el símbolo de lectura en voz alta en tu próximo libro para ver si puedes escucharlo. La herramienta de lectura en voz alta lee el texto en voz alta por ti, resaltando el texto a medida que se lee. Puedes pausarla, acelerarla y ralentizarla. Obtén más información sobre la lectura en voz alta
¡Sí! Puedes usar la aplicación de Perlego en dispositivos iOS y Android para leer cuando y donde quieras, incluso sin conexión. Es ideal para cuando vas de un lado a otro o quieres acceder al contenido sobre la marcha.
Ten en cuenta que no será compatible con los dispositivos que se ejecuten en iOS 13 y Android 7 o en versiones anteriores. Obtén más información sobre cómo usar la aplicación
Ten en cuenta que no será compatible con los dispositivos que se ejecuten en iOS 13 y Android 7 o en versiones anteriores. Obtén más información sobre cómo usar la aplicación
Sí, puedes acceder a Patología de la glándula tiroides de Severino Rey en formato PDF o ePUB, así como a otros libros populares de Medicine y Clinical Medicine. Tenemos más de un millón de libros disponibles en nuestro catálogo para que explores.