- Obra que recoge los últimos avances producidos en las técnicas de imagen empleadas para el diagnóstico de enfermedades de la retina.- Obra novedosa y única debido a la ausencia de publicaciones en este área, lo que hace que se convierta en una herramienta de gran valor para los especialistas en oftalmología.- Obra promovida por la Sociedad Española de Retina y Vítreo (SERV) en la que participan en la obra destacados expertos en oftalmología y especialistas que han destinados buena parte de su carrera a la investigación de determinadas técnicas diagnósticas en oftalmología.

- 142 páginas
- Spanish
- ePUB (apto para móviles)
- Disponible en iOS y Android
eBook - ePub
Diagnóstico por la imagen en retina
Descripción del libro
Cuenta con la confianza de 375,005 estudiantes
Acceso a más de 1 millón de títulos por un precio mensual asequible.
Estudia de forma más eficiente usando nuestras herramientas de estudio.
Información
Editorial
ElsevierAño
2014ISBN de la versión impresa
9788490227213
ISBN del libro electrónico
9788490227916
Categoría
MedicinaCategoría
Oftalmología y optometríaCapítulo 1
Retinografía
Subcapítulo 1.1
Retinografía en color y con filtros
Javier Elizalde
INTRODUCCIÓN
Desde su introducción por Jackman y Webster en 1886 hasta la actualidad, la tecnología para obtener fotografías del segmento posterior del globo ocular ha evolucionado ostensiblemente, sobre todo con la aparición de los sistemas numéricos (digitales) que facilitan la obtención, el procesamiento, el almacenamiento y la transmisión de las imágenes (fig. 1.1). Además, entre otras cosas, este método permite obtener imágenes con la interposición de filtros monocromáticos, medir estructuras del fondo de ojo con una alta fiabilidad y realizar fotomontajes. La fotografía del segmento posterior del globo ocular incluye cuatro campos principales: la retinografía en color (convencional y de campo amplio), las retinografías monocromáticas (con filtros de selección espectral), la angiografía (tratada en otro capítulo de esta misma obra) y las fotos del segmento posterior utilizando una lámpara de hendidura.

RETINOGRAFÍA EN COLOR
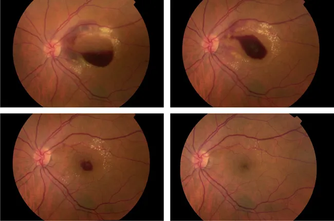
La fotografía del fondo de ojo (retinografía) continúa siendo la técnica básica para la documentación de las patologías del vítreo, retina, coroides y nervio óptico, pese a la aparición de nuevas y sofisticadas tecnologías y métodos complementarios de exploración. La obtención de una retinografía se realiza habitualmente con la finalidad de disponer de una imagen de archivo, para mostrarla en un medio de comunicación científica o didáctica, o bien para comparar la evolución en el tiempo de una patología y/o su respuesta al tratamiento (fig. 1.2). La simple «fijación» de una imagen permite volver a ella y reconocer detalles que podrían haber pasado desapercibidos en la primera inspección clínica. En este sentido, la fotografía, en cualquiera de sus facetas, representa una extensión muy precisa de la memoria.

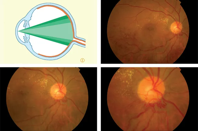
Los detalles técnicos para realizar una buena retinografía dependen del equipo empleado, pero hay aspectos comunes. En general, los retinógrafos consisten en una óptica muy similar a la de un oftalmoscopio indirecto que genera una imagen real del fondo de ojo en el aparato, la cual es captada por una cámara. Un diafragma circular opaco en el sistema óptico de iluminación (exploratorio y del flash) bloquea la parte central del haz luminoso antes de unirse a la apertura común con el camino de las imágenes. Así la luz incidente adopta una configuración anular que evita los reflejos, pasando por la parte periférica de la apertura, de la córnea y del cristalino, mientras que las imágenes obtenidas pasan por la parte central (fig. 1.3). Por esta razón, la midriasis farmacológica suele ser necesaria para obtener una buena imagen. El centrado y la puesta a punto suelen hacerse con un joystick, igual que el del biomicroscopio.

Los retinógrafos varían en función de la amplitud del ángulo que proporciona la óptica de la cámara. Un ángulo de 30° crea una imagen 2,5 veces más grande que la real. Las cámaras de campo amplio capturan imágenes entre 45 y 140°, con una magnificación retiniana proporcionalmente inferior. La mayoría de los retinógrafos lleva incorporado un sistema para poder obtener imágenes de diferentes aumentos (entre 20 y 60°) (fig. 1.4). Existen tipos de software (p. ej., el EyeCap de HaagStreit®) que permiten ampliar (recortar) la imagen importada desde el retinógrafo para ilustrar detalles significativos de la fotografía (fig. 1.5).


Para la obtención de una buena retinografía el primer paso crítico consiste en obtener un centrado correcto con la pupila. El enfoque se realiza por aproximación, buscando en primer lugar la desaparición del reflejo corneal central. Un reflejo azulado periférico, debido a la dispersión luminosa por parte del cristalino, indica una posición demasiado alejada del foco, mientras que un reflejo anaranjado o blanco, procedente de la córnea, revela un exceso de aproximación. Las condiciones óptimas se encuentran en una posición intermedia, que se debe ajustar delicadamente para evitar artefactos. Cualquier desviación lateral o vertical excesiva producirá reflejos brillantes anaranjados o blancos en forma de cruasán en el mismo lado de la desviación.
Otro de los aspectos indispensables es conseguir una visualización simultánea de la retina y de las retículas que hay en el ocular. El ajuste del foco del ocular será diferente si el fotógrafo utiliza o no lentes correctoras (es indispensable evitar el fenómeno de acomodación en el técnico, sobre todo si es joven). Se puede optar por fotografiar con o sin gafas o lentes de contacto si la corrección necesaria es esférica. Si el fotógrafo tiene astigmatismo debe ajustar el ocular utilizando gafas correctoras.
La numerización (digitalización) ha tenido un impacto más rápido y profundo en la fotografía del segmento posterior respecto a la del segmento anterior. Este hecho puede explicarse por las ventajas más evidentes que supone para el archivo de numerosas imágenes (color, monocromáticas, angiografías) generadas para cada paciente y por las grandes posibilidades de manipulación digital (mejora del contraste, etc.). La figura...
Índice
- Cubierta
- Portada
- Índice de capítulos
- Preliminares
- derechos de autor
- Autores
- Introducción
- Capítulo 1: Retinografía
- Capítulo 2: Angiografía
- Capítulo 3: Ecografía
- Capítulo 4: Tomografía de coherencia óptica
- Capítulo 5: Tomografía computarizada y resonancia magnética
- Índice alfabético
Preguntas frecuentes
Sí, puedes cancelar tu suscripción en cualquier momento desde la pestaña Suscripción en los ajustes de tu cuenta en el sitio web de Perlego. La suscripción seguirá activa hasta que finalice el periodo de facturación actual. Descubre cómo cancelar tu suscripción
No, los libros no se pueden descargar como archivos externos, como los PDF, para usarlos fuera de Perlego. Sin embargo, puedes descargarlos en la aplicación de Perlego para leerlos sin conexión en el móvil o en una tableta. Descubre cómo descargar libros para leer sin conexión
Perlego ofrece dos planes: Essential y Complete
- El plan Essential es ideal para los estudiantes y los profesionales a los que les gusta explorar una amplia gama de temas. Accede a la biblioteca Essential, con más de 800 000 títulos de confianza y superventas sobre negocios, crecimiento personal y humanidades. Incluye un tiempo de lectura ilimitado y la voz estándar de «Lectura en voz alta».
- Complete: perfecto para los estudiantes avanzados y los investigadores que necesitan un acceso completo sin ningún tipo de restricciones. Accede a más de 1,4 millones de libros sobre cientos de temas, incluidos títulos académicos y especializados. El plan Complete también incluye funciones avanzadas como la lectura en voz alta prémium y el asistente de investigación.
Somos un servicio de suscripción de libros de texto en línea que te permite acceder a toda una biblioteca en línea por menos de lo que cuesta un libro al mes. Con más de un millón de libros sobre más de 990 categorías, ¡tenemos todo lo que necesitas! Descubre nuestra misión
Busca el símbolo de lectura en voz alta en tu próximo libro para ver si puedes escucharlo. La herramienta de lectura en voz alta lee el texto en voz alta por ti, resaltando el texto a medida que se lee. Puedes pausarla, acelerarla y ralentizarla. Obtén más información sobre la lectura en voz alta
¡Sí! Puedes usar la aplicación de Perlego en dispositivos iOS y Android para leer cuando y donde quieras, incluso sin conexión. Es ideal para cuando vas de un lado a otro o quieres acceder al contenido sobre la marcha.
Ten en cuenta que no será compatible con los dispositivos que se ejecuten en iOS 13 y Android 7 o en versiones anteriores. Obtén más información sobre cómo usar la aplicación
Ten en cuenta que no será compatible con los dispositivos que se ejecuten en iOS 13 y Android 7 o en versiones anteriores. Obtén más información sobre cómo usar la aplicación
Sí, puedes acceder a Diagnóstico por la imagen en retina de SERV, Ignasi Jürgens Mestre en formato PDF o ePUB, así como a otros libros populares de Medicina y Oftalmología y optometría. Tenemos más de un millón de libros disponibles en nuestro catálogo para que explores.