
eBook - ePub
Clinical Data Interpretation for Medical Finals
Single Best Answer Questions
- English
- ePUB (mobile friendly)
- Available on iOS & Android
eBook - ePub
Clinical Data Interpretation for Medical Finals
Single Best Answer Questions
About this book
Written by senior clinicians across a range of specialties, Data Interpretation for Medical Finals: Single Best Answer Questions is the perfect way to prepare for data interpretation assessments and clinical practice.
Featuring over 200 questions on key topics in medicine, each question is set around an image or investigation, such as an X-ray, CT scan, or blood film, and tests identification and interpretation of the data provided. Thorough explanation of the correct and incorrect answers helps you learn from mistakes.ย The questions reflect current exam question style and incorporate high quality images, many of which are annotated, and are presented in full colour throughout.
Data Interpretation for Medical Finals will help build the confidence of all medical students, and Foundation Doctors, as it encourages application of investigation results to clinical decision making.
Tools to learn more effectively

Saving Books

Keyword Search

Annotating Text

Listen to it instead
Information
3 Haematology
Questions
Question 1
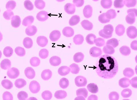
Consider the blood film below:

1. What is cell X?
A. Erythroblast
B. Erythrocyte
C. Reticulocyte
D. Sickle cell
E. Pencil cell
2. What is cell Y?
A. Neutrophil
B. Lymphocyte
C. Eosinophil
D. Monocyte
E. Basophil
3. What is structure Z?
A. Red cell fragment
B. Malarial parasite
C. Platelets
D. Spherocyte
E. HowellโJolly body
Question 2
The red cells in the following film are abnormal:

1. What is cell T?
A. Pencil cell
B. Target cell
C. Sickle cell
D. Spherocyte
E. Elliptocyte
2. What is structure U?
A. Red cell fragment
B. Malarial parasite
C. Platelet
D. Spherocyte
E. HowellโJolly body
Question 3
Consider the film below:

1. What is cell V?
A. Pencil cell
B. Target cell
C. Sickle cell
D. Spherocyte
E. Elliptocyte
3. What is cell W?
A. Pencil cell
B. Target cell
C. Sickle cell
D. Spherocyte
E. Elliptocyte
Question 4
A 32-year-old woman visits her GP due to ongoing nausea and tiredness. She is pleasantly surprised to discover that she is pregnant. On examination she looks a bit pale, so the GP performs some blood tests to investigate further. These are shown below:
| Range | ||
| White cell count (WCC) | 5.0 ร 109/L | 3.8โ11.8 ร 109 |
| Haemoglobin (Hb) | 8.1 g/dL | 11.5โ16.5 |
| Platelets | 274 ร 109/L | 150โ400 ร 109 |
| Haematocrit | 0.249 L/L | 0.37โ0.50 |
| Mean cell volume (MCV) | 106 fL | 78โ100 |
| Neutrophils | 2.75 ร 109/L | 2.00โ6.77 ร 109 |
| Lymphocytes | 2 ร 109/L | 1โ4 ร 109 |
| Monocytes | 0.5 ร 109/L | 0.2โ0.8 ร 109 |
| Eosinophils | 0.04 ร 109/L | 0.04โ0.40 ร 109 |
| Basophils | 0.01... |
Table of contents
- Cover
- Title Page
- Copyright
- Contributors
- Foreword
- Preface
- Acknowledgements
- Reference Values
- Chapter 1q: Cardiac Medicine
- Chapter 1a: Cardiac Medicine
- Chapter 2q: Respiratory Medicine
- Chapter 2a: Respiratory Medicine
- Chapter 3q: Haematology
- Chapter 3a: Haematology
- Chapter 4q: Microbiology
- Chapter 4a: Microbiology
- Chapter 5q: Radiology
- Chapter 5a: Radiology
- Chapter 6q: General Surgery and Gastroenterology
- Chapter 6a: General Surgery and Gastroenterology
- Chapter 7q: Musculoskeletal Medicine and Trauma
- Chapter 7a: Musculoskeletal Medicine and Trauma
- Chapter 8q: Dermatology
- Chapter 8a: Dermatology
- Chapter 9q: Ophthalmology
- Chapter 9a: Ophthalmology
- Chapter 10q: Evidence-based Medicine
- Chapter 10a: Evidence-based Medicine
- Appendix A: How to Interpret an ECG
- Appendix B: How to Interpret a Chest Radiograph
- Appendix C: How to Interpret an Arterial Blood Gas
- Appendix D: How to Interpret an Abdominal Radiograph
- Appendix E: How to Interpret a CT Head
Frequently asked questions
Yes, you can cancel anytime from the Subscription tab in your account settings on the Perlego website. Your subscription will stay active until the end of your current billing period. Learn how to cancel your subscription
No, books cannot be downloaded as external files, such as PDFs, for use outside of Perlego. However, you can download books within the Perlego app for offline reading on mobile or tablet. Learn how to download books offline
Perlego offers two plans: Essential and Complete
- Essential is ideal for learners and professionals who enjoy exploring a wide range of subjects. Access the Essential Library with 800,000+ trusted titles and best-sellers across business, personal growth, and the humanities. Includes unlimited reading time and Standard Read Aloud voice.
- Complete: Perfect for advanced learners and researchers needing full, unrestricted access. Unlock 1.4M+ books across hundreds of subjects, including academic and specialized titles. The Complete Plan also includes advanced features like Premium Read Aloud and Research Assistant.
We are an online textbook subscription service, where you can get access to an entire online library for less than the price of a single book per month. With over 1 million books across 990+ topics, weโve got you covered! Learn about our mission
Look out for the read-aloud symbol on your next book to see if you can listen to it. The read-aloud tool reads text aloud for you, highlighting the text as it is being read. You can pause it, speed it up and slow it down. Learn more about Read Aloud
Yes! You can use the Perlego app on both iOS and Android devices to read anytime, anywhere โ even offline. Perfect for commutes or when youโre on the go.
Please note we cannot support devices running on iOS 13 and Android 7 or earlier. Learn more about using the app
Please note we cannot support devices running on iOS 13 and Android 7 or earlier. Learn more about using the app
Yes, you can access Clinical Data Interpretation for Medical Finals by Philip Pastides, Parveen Jayia, Philip Pastides,Parveen Jayia in PDF and/or ePUB format, as well as other popular books in Medicine & Internal Medicine & Diagnosis. We have over one million books available in our catalogue for you to explore.