This logical, cogent, and rigorous book presents approaches to treating advanced periodontitis based on clinical signs and biologic features of the disease and on current data concerning bacterial etiology and new diagnostic methods. Treatment strategies that conform to the new classification criteria of periodontal diseases are tailored to individual cases, and numerous clinical cases illustrate the surprising repair capacities obtained through the use of time-tested maintenance techniques.

- 120 pages
- English
- ePUB (mobile friendly)
- Available on iOS & Android
eBook - ePub
Clinical Success in Management of Advanced Periodontitis
About this book
Trusted byĀ 375,005 students
Access to over 1.5 million titles for a fair monthly price.
Study more efficiently using our study tools.
Information
| Severity of Periodontal Disease | ![]() |

Severity Criteria
Periodontal disease is an inflammatory disease caused by a bacterial infection. It is characterized by a progressive destruction of the dental attachment tissues. Left untreated, it may lead to complete loss of dental attachment structures and subsequently loss of teeth.
The primary objective of treatment is to arrest the progressive destruction of periodontal tissue and thus to arrest loss of attachment structures. However, the infectious process involved in periodontal disease is complex. Host susceptibility and the presence of pathogenic bacterial species, whether exogenous or commensal, interact and either promote or hinder the progression of the disease. Simultaneously, numerous local or environmental factors exert an influence on the etiologic agents and the course of disease. Because of its multifactorial nature, periodontal disease is difficult to manage. In formulating treatment strategies, both the patientās periodontal susceptibility and the amount of periodontal destruction need to be taken into account. Repair and regeneration have become realistic objectives in the current context of periodontal therapeutics. For this reason, a methodic assessment of severity factors is a crucial step in treatment planning.
Severe periodontal disease is characterized by:
⢠Destruction of periodontal attachment tissue exceeding one third of the rootās length
⢠Class II or III furcation invasion
⢠Probing depths exceeding 6 mm
⢠Attachment loss exceeding 4 mm
Some teeth have already been lost or are unlikely to be maintained. The indication of prosthetic restorations for the replacement of missing teeth denotes the irreversible aspect of treatment in the periodontal patient. However, prosthetic rehabilitation may seem a risky endeavor in the context of uncontrolled periodontal disease. This raises several questions concerning both the disease itself and the global treatment strategy:
⢠Is infection control possible in all forms of periodontitis?
⢠Are there severity factors? How can they be detected? Can they be eliminated?
⢠What are the risk factors?
⢠What would be the best treatment strategy?
⢠To what extent can a conservative approach be applied?
⢠What are the different criteria that indicate the decision to extract?
⢠When should the decision to extract be made?
⢠What is the prognosis for the remaining teeth?
⢠Is it possible to place implants in the context of advanced periodontal disease?
⢠Should we carry out periodontal treatments less often and place implants more often?
⢠What are the optimal conditions for successful therapy?
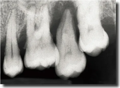
In the 1990s, the strategy consisting of root debridement with scaling and planing with or without surgical techniques and followed by periodontal maintenance every 3 to 6 months was considered the best treatment for the majority of periodontal diseases (Goodson 1994). However, the so-called refractory forms emerged; these were characterized by poor response to treatment (Figs 1-1a and 1-1b). In these specific cases, antibiotic therapy was recommended. Since then, however, progress in microbiologic knowledge no longer limits the use of antibiotic therapy to the refractory forms of periodontal disease. Taken together, these elements demonstrate the need for a sound understanding of the complex microbiology of periodontal disease in clinical practice.
A better understanding of the etiology and pathogenesis of periodontal diseases has allowed for the development of new guidelines for management and treatment; this represents a major step toward carrying out treatment strategies better suited to individual patients. An increasingly specific approach, taking into account factors such as patient susceptibility, features of periodontal infection, and individual severity factors, will no doubt lead to a reduction of the number of refractory forms and lay out a clinical context favorable to tissue response.
The American Academy of Periodontologyās 2000 classification now serves as a reference. Periodontal disease treatments should be carried out in accordance with the diagnostic criteria specified in this classification. Advanced periodontitis is most often observed in younger patients, though it does not represent a distinct clinical subset; it is observed in chronic and aggressive forms of periodontal disease, both of which represent the principal subunits of the new classification. In the case of chronic periodontitis, treatment is relatively straightforward: the infection is characterized by a significant amount of plaque buildup and features a predominant commensal bacterial population with local aggravating factors. In the case of aggressive periodontitis, a more specific protocol must take into account the involvement of a more complex bacterial flora, specific patient susceptibility factors, and additional risk factors. Here again, formulating a precise diagnosis is a crucial step in patient management.
Defining treatment success in periodontal practice represents a difficult task. It implies both complete elimination of infectious processes and associated inflammation as well as durable prevention of recurrence in all previously pathologic periodontal sites. Infection control is the key to success, though it is the aspect of treatment that is most difficult to accomplish. The ultimate goal is durable restoration, both esthetic and functional, while attempting to avoid the use of partial dentures.
Currently, there is a strong incentive toward the application of evidence-based solutions and techniques. However, statistical analysis is more difficult to carry out in the clinical setting than in the context of pure research. Clinical practice can therefore demonstrate its efficacy and ultimately point out elements of scientific truth through interpretation of scientific information.
Among these indicators of clinical proof are the following:
⢠Continuous, progressive loss of periodontal support is a significant and undesirable clinical proof.
⢠Durable elimination of clinical signs of inflammation and long-term maintenance of periodontal support structures are significant positive clinical proofs.
⢠Attachment gain and reduced probing depths are significant, ideal clinical parameters that indicate long-term clinical success.

Fig 1-1a Aggressive periodontitis in a 40-year-old woman who is subject to stress and smokes one pack of cigarettes a day. The patient experienced an emotional shock 5 years earlier. A conventional treatment plan was initiated and included periodontal surgery throughout all quadrants. Professional maintenance (scaling and root planing) was carried out every 3 months, and the patient responded well.

Fig 1-1b Four years after treatment and maintenance therapy. Periodontal status has deteriorated in all areas. Observe the new attachment losses, dental migrations, and larger diastemata. It is clear that periodontal disease is not controlled. This patientās disease was refractory to conventional treatment. Specific risk factors in this patient were underestimated.
Prevalence of Periodontal Disease
Periodontal disease predominantly affects the adult population. The overall prevalence of periodontitis is high. According to some authors, 90% of the general population have signs of periodontitis and 50% of individuals aged 15 to 19 years have at least one periodontal pocket (Waerhaug 1975; Sheiham 1978). An analysis of the natural history of the disease is informative and shows that there are several periodontal disease subtypes.
A first longitudinal study, carried out in a tea-picking community of Sri Lanka (Loƫ et al 1986), studied a group of individuals who were relatively well isolate...
Table of contents
- Cover
- Title Page
- Copyright Page
- Acknowledgements
- Table of Contents
- 1.Ā Severity of Periodontal Disease
- 2.Ā Pathogenesis of Periodontal Disease
- 3.Ā Diagnosis of Advanced Periodontitis
- 4.Ā Infection Control in Periodontics
- 5.Ā Treatment of Advanced Periodontitis
- 6.Ā Adjunctive Therapy
- 7.Ā Prognosis and Long-term Outcome
- Glossary
- Bibliography
Frequently asked questions
Yes, you can cancel anytime from the Subscription tab in your account settings on the Perlego website. Your subscription will stay active until the end of your current billing period. Learn how to cancel your subscription
No, books cannot be downloaded as external files, such as PDFs, for use outside of Perlego. However, you can download books within the Perlego app for offline reading on mobile or tablet. Learn how to download books offline
Perlego offers two plans: Essential and Complete
- Essential is ideal for learners and professionals who enjoy exploring a wide range of subjects. Access the Essential Library with 800,000+ trusted titles and best-sellers across business, personal growth, and the humanities. Includes unlimited reading time and Standard Read Aloud voice.
- Complete: Perfect for advanced learners and researchers needing full, unrestricted access. Unlock 1.5M+ books across hundreds of subjects, including academic and specialized titles. The Complete Plan also includes advanced features like Premium Read Aloud and Research Assistant.
We are an online textbook subscription service, where you can get access to an entire online library for less than the price of a single book per month. With over 1.5 million books across 990+ topics, weāve got you covered! Learn about our mission
Look out for the read-aloud symbol on your next book to see if you can listen to it. The read-aloud tool reads text aloud for you, highlighting the text as it is being read. You can pause it, speed it up and slow it down. Learn more about Read Aloud
Yes! You can use the Perlego app on both iOS and Android devices to read anytime, anywhere ā even offline. Perfect for commutes or when youāre on the go.
Please note we cannot support devices running on iOS 13 and Android 7 or earlier. Learn more about using the app
Please note we cannot support devices running on iOS 13 and Android 7 or earlier. Learn more about using the app
Yes, you can access Clinical Success in Management of Advanced Periodontitis by Roger Detienville in PDF and/or ePUB format, as well as other popular books in Medicine & Dentistry. We have over 1.5 million books available in our catalogue for you to explore.
