Treatment planning is commonly considered one of the most important phases of any dental treatment and vital for achieving successful long-term results. However, most dental schools do not offer courses exclusively designed for comprehensive planning, and comprehensive planning is rarely discussed at scientific meetings because it is considered a basic topic that practitioners should already understand. This knowledge gap leaves practicing clinicians with few options beyond using their own intuition to solve problems, which is highly unpredictable. Therefore, this book presents clinical guidelines for planning treatments in restorative dentistry and outlines a clear, objective, and simple thinking process that can be easily applied in daily practice, essentially providing the reader with a roadmap to be used as a reference from the very initial procedures until final restorative treatment. Part 1 describes how to identify existing problems by gathering, organizing, and analyzing information obtained during clinical examination. Examination checklists and forms are included to ensure that no important information is left out during the evaluation process. Part 2 focuses on providing solutions to identified problems via restorative treatment options, highlighting the use of implant-supported restorations in the treatment of both partially and completely edentulous arches. Part 3 details how to present treatment options to the patient and includes aspects related to patient education, treatment plan presentation, and obtaining informed consent from the patient. Altogether, this book will transform the way you treatment plan your cases.

eBook - ePub
Treatment Planning in Restorative Dentistry and Implant Prosthodontics
- 320 pages
- English
- ePUB (mobile friendly)
- Available on iOS & Android
eBook - ePub
Treatment Planning in Restorative Dentistry and Implant Prosthodontics
About this book
Trusted byĀ 375,005 students
Access to over 1.5 million titles for a fair monthly price.
Study more efficiently using our study tools.
Information

Controversies and Uncertainties Related to the Planning Process
Dental therapies can be divided into three phases regardless of their area and/or level of complexity: (1) diagnosis and treatment planning, (2) treatment delivery, and (3) control and maintenance.1 The initial phaseādiagnosis and treatment planningāis generally considered the most important phase of any dental treatment and is vital for achieving successful long-term results.1 However, planning treatment in restorative dentistry can be confusing and difficult. Controversies and uncertainties related to the planning process have made it not only a vague goal but also a difficult skill for dental students and dentists to acquire.
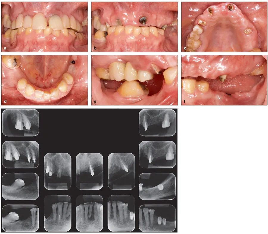
In the initial phase, it is not uncommon for dentists to become puzzled and lose track of what to do to develop a comprehensive and reliable plan of care. The immense number of findings that arise when evaluating a difficult dental case (Fig 1-1) may overwhelm inexperienced practitioners to such an extent that they do not even know where to start or what to do first. Even with experienced dentists, questions such as āNow what am I supposed to do?ā or āHow can I be sure that all the necessary information has been properly assessed?ā are quite common in this phase of treatment. Furthermore, quite frequently there is disagreement as to which specialty or professional should assume the role of organizing and conducting the complete planning process.

Fig 1-1 A complex case involving endodontic problems, tooth position problems, occlusal problems, and temporomandibular joint problems. (a and b) Frontal view of the patient with the existing prostheses in place (a) and removed (b). Note that the occlusal vertical dimension has been altered because of the lack of posterior support. The height of the crowns of the mandibular anterior teeth has been significantly reduced because of abrasion. The maxillary right central incisor has drifted buccally, most likely as a result of the lack of proper support for the forces of mastication. (c and d) Occlusal views of the maxillary and mandibular arches showing the number, position, and distribution of remaining teeth. (e and f) Lateral views of the right and left quadrants showing changes in occlusal vertical dimension. Significant drifting has occurred because of the lack of proper support for the forces of mastication. (g) Periapical radiographs of the maxillary and mandibular teeth. Note the presence of oversized and undersized posts and cores, periapical lesions, and dental implants.
One reason underlying this confusion is the manner in which treatment planning is addressed in dental schools. Most schools do not offer courses exclusively designed for comprehensive planning. In predoctoral programs, treatment planning is commonly taught as a part of a specific discipline, such as prosthodontics, periodontics, occlusion, orthodontics, or oral surgery. Postdoctoral courses tend to follow the same segmented format. Because of this deficiency, there are no set guidelines to be followed by the clinician throughout the entire planning procedure, and there is a lack of understanding of what objectives need to be achieved in the complete planning process. Without a comprehensive and effective philosophy providing a course of action to be followed, dentists have been forced to rely on their own intuition to create an approach for diagnosis and treatment planning.
Many dentists tend to develop a specific method to diagnose and treat each single case. Because each patient is unique, every case must be planned considering the specific individual characteristics of that patient. Thus, the dentist is faced with the challenge of devising a specific planning method for each and every patient presenting for treatment. Furthermore, because the dentist is working without understanding what goals need to be achieved at the end of the planning process, it is impossible to know whether these goals have been achieved or not. This line of thought can be very confusing and misleading. It would be much easier to use the same thought process in all situations. This would certainly facilitate treatment planning procedures because the same protocol could be used for every patient irrespective of his or her clinical condition. It would also improve the communication between dental professionals when discussing any given case.
Another concern points to the lack of proper literature on the subject. Much has been written about treatment planning, but despite most authorsā efforts to address the topic in a complete manner, on close examination nearly all articles and texts fail to be as objective, clear, comprehensive, and clinically oriented as they claim to be. Although nearly every author attempts to discuss the subject in a comprehensive fashion, in the end they all tend to concentrate their consider-ations more heavily toward their individual area of expertise. Even the establishment of an interrelationship between differ-ent topics within the same specialty is frequently overlooked. For example, consider the examination of articulated casts in restorative dentistry. In general, students know that it is important to mount study casts on an articulator; but once this has been accomplished, occlusion tends to be the center of attention, and other areas of similar importance such as the evaluation of edentulous areas are left without proper consideration, and a complete examination of the mounted casts is frequently not conducted. Similarly, textbooks on occlusion, fixed partial dentures, removable partial dentures, and complete dentures tend to discuss treatment planning on the basis of each individual subject without associating these individual discussions with the specialty at large. Consequently, when the dental student or the practitioner is faced with treatment planning for the total individual, especially complex full-mouth reconstruction cases, he or she is forced to consult multiple textbooks and articles, each of which explores only a portion of the totality. Eventually, there is always doubt about how to put all the information together and determine what needs to be done first.
Moreover, comprehensive planning is rarely discussed at scientific meetings and conferences because participants (according to most meeting organizers) are expected to have attained information on the subject during their training in dental school, given that treatment planning is commonly regarded as a basic topic.
Without a doubt, dentistsā inability to precisely determine what objectives need to be achieved in the complete treatment planning process can be considered a major setback. Box 1-1 outlines the factors that contribute to this problem.
Box 1-1
Factors that contribute to controversy and confusion in treatment planning
⢠Lack of guidelines to use as a reference throughout the entire planning process
⢠Lack of set objectives to accomplish
⢠Massive amount of information to assess
⢠Inadequate organization of collected data
⢠Question as to who should be responsible for the entire planning process
Historical Overview of Planning Methods
To better understand current treatment planning concepts, one should become familiar with how treatment planning decisions have been made in the past, the apparent limitations of that process, and how clinical decision-making was affected by traditional models. Box 1-2 summarizes the main differences between traditional and contemporary planning concepts.
Box 1-2
Traditional versus contemporary planning concepts
Traditional concept
⢠Empirically based
⢠Treatment focused on solving a specific problem
⢠Segmented care
⢠Poor long-term prognosis
Contemporary concept
⢠Evidence based
⢠Treatment focused on the patient as a whole
⢠Comprehensive care
⢠Good long-term prognosis
Traditional planning concept
In the past, dental treatment consisted of the relief of pain, the resolution of esthetic issues, or the replacement of missing teeth.2 The treatment was performed with the intent to solve a specific problem or by focusing on a specific area commonly related to the problem described by the patient. Typically, a specific tooth condition or problem was evaluated, and an immediate recommendation was then made about what should be done to solve that problem. This was all it took for the practitioner to gain a measure of consent from the patient to begin treatment. The solution to the given problem was generally quite simple. Treatments were performed based on the diagnostic capabilities and limited to the therapeutic modalities available at the time. Treatment decisions were made in an environment of uncertainty, and treatment recommendations were usually based on the dentistās experience, which was most often empirically based, without solid scientific foundation. This concept of treatment proved to be inefficient and, at times, detrimental to the patient, especially on a long-term basis, when it simply offered a segmented type of care in which only one tooth, quadrant, or arch was treated without any concern for the patient as a whole. Also, it was not unusual for the patient to pass on treatment decisions to the dentist, expressing sentiments such as āJust do what you think bestā or āWhat would you do if I were your father or mother?ā
In this kind of scenario, dentists were the only ones to decide the type of treatment to be delivered to the patient, and often a clearly articulated diagnosis was hard to reach. Even in those cases in which the dentist made a mental judgment on the treatment rationale, the diagnosis might not have been stated to the patient. As a result, it was highly unlikely that patients would be presented with treatment options; even when options were presented, the offerings tended to be unthinking, with the patient given minimum information with which to make a thoughtful decision. Therefore, in these circumstances, the treatment plan essentially served as (1) a means of collecting fees (formal document) and (2) a general orientation for delivering therapeutic measures.
Traditional models also do not lead to successful outcomes because of the manner in which the information is assessed and organized in different stages of treatment planning. Generally, the primary planning steps include initial consultation with patient interview, initial clinical examination, preliminary impressions for study casts, and assessment of diagnostic aids (radiographic examination and evaluation of articulated casts). After data gathering, the collected information is assessed, and the treatment plan is finalized. In theory, this process appears to be adequate, but when it comes to clinical application, it seems not to work. The system by itself does not offer guidelines for managing diagnosis and treatment planning procedures in a comprehensive manner, particularly in more complex cases, and it does not encourage a discussion correlating findings from different areas of expertise either. As a result, the evaluation proce-dures become segmented and fail to be comprehensive. Figures 1-2 and 1-3 illustrate clinical situations in which emphasis was given to resolving a specific problem without pa...
Table of contents
- Cover
- Half Title
- Copyright Page
- Title Page
- Contents
- Preface
- Acknowledgments
- 1 A Rationale for Developing a Philosophy of Total Care
- PART ONE: The Planning Process: Identifying Existing Problems
- 2 Gathering and Organizing Clinical Data: Initial Consultation
- 3 Gathering and Organizing Clinical Data: Clinical Examination
- 4 Extraoral Examination
- 5 Intraoral Examination: Soft Tissues
- 6 Intraoral Examination: Hard Tissues
- 7 Intraoral Examination: Edentulous Areas
- 8 Intraoral Examination: Specialty Considerations
- 9 Interpreting the Collected Data, Determining the Diagnosis and Prognosis, and Establishing Treatment Objectives
- PART TWO: The Planning Process: Providing Solutions to Identified Problems
- 10 Restorative Treatment
- 11 Conventional Restorative Dentistry
- 12 Implant-Supported Restorations
- 13 Treatment Plan Development
- PART THREE: Presenting Treatment Plans and Obtaining Consent to Treatment
- 14 Preparing the Patient to Make an Informed Decision
- Index
- Backcover
Frequently asked questions
Yes, you can cancel anytime from the Subscription tab in your account settings on the Perlego website. Your subscription will stay active until the end of your current billing period. Learn how to cancel your subscription
No, books cannot be downloaded as external files, such as PDFs, for use outside of Perlego. However, you can download books within the Perlego app for offline reading on mobile or tablet. Learn how to download books offline
Perlego offers two plans: Essential and Complete
- Essential is ideal for learners and professionals who enjoy exploring a wide range of subjects. Access the Essential Library with 800,000+ trusted titles and best-sellers across business, personal growth, and the humanities. Includes unlimited reading time and Standard Read Aloud voice.
- Complete: Perfect for advanced learners and researchers needing full, unrestricted access. Unlock 1.5M+ books across hundreds of subjects, including academic and specialized titles. The Complete Plan also includes advanced features like Premium Read Aloud and Research Assistant.
We are an online textbook subscription service, where you can get access to an entire online library for less than the price of a single book per month. With over 1.5 million books across 990+ topics, weāve got you covered! Learn about our mission
Look out for the read-aloud symbol on your next book to see if you can listen to it. The read-aloud tool reads text aloud for you, highlighting the text as it is being read. You can pause it, speed it up and slow it down. Learn more about Read Aloud
Yes! You can use the Perlego app on both iOS and Android devices to read anytime, anywhere ā even offline. Perfect for commutes or when youāre on the go.
Please note we cannot support devices running on iOS 13 and Android 7 or earlier. Learn more about using the app
Please note we cannot support devices running on iOS 13 and Android 7 or earlier. Learn more about using the app
Yes, you can access Treatment Planning in Restorative Dentistry and Implant Prosthodontics by Antonio H.C. Rodrigues in PDF and/or ePUB format, as well as other popular books in Medicine & Dentistry. We have over 1.5 million books available in our catalogue for you to explore.