Small Animal Imaging
eBook - ePub

Small Animal Imaging

Self-Assessment Review

  1. 262 pages
  2. English
  3. ePUB (mobile friendly)
  4. Available on iOS & Android
eBook - ePub

Small Animal Imaging

Self-Assessment Review

About this book

Presented in an easy-to-ready format, Small Animal Imaging: Self-Assessment Color Review offers a case-based approach to reviewing and interpreting images and developing a differential diagnosis when necessary. Each case begins with the patient's age, gender, breed, and species. The reason the patient was brought to the clinic is discussed along with preliminary examination and diagnostic test findings. The book

  • Covers nearly 200 cases with supporting high-quality images for each case
  • Provides detailed answers for each case, including radiographic findings and diagnosis
  • Is written by well-respected experts in the field.

A separate section presents detailed answers for each case including information on the radiographic findings. Also included are the radiographic diagnosis, comments, and notes on whether further imaging or evaluation is needed.

This guide helps practitioners to develop a systematic approach to reviewing images. The easily-navigable text reminds practitioners of the basics in radiography and ultrasound interpretation and diagnosis, making it a quick and convenient reference.

Trusted by 375,005 students

Access to over 1.5 million titles for a fair monthly price.

Study more efficiently using our study tools.

Information

Publisher
CRC Press
Year
2018
Print ISBN
9781138091498
eBook ISBN
9781315356136
Section 1: THORAX
Thorax Questions
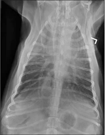
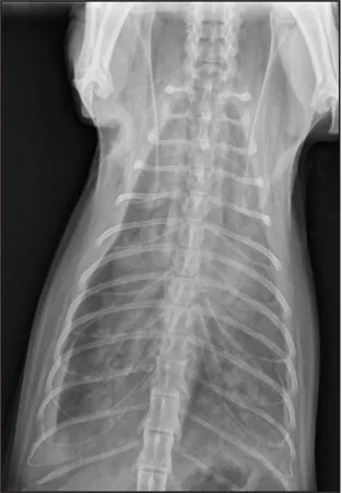
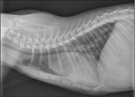
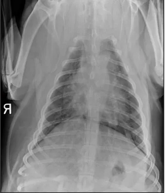
CASE 1.1 A 7-year-old neutered male Labrador Retriever who was hit by a car. You obtain these thoracic radiographs: Figs. 1.1a, b, left and right lateral projections, respectively; Figs. 1.1c, d, ventrodorsal and dorsoventral projections, respectively.
1 What are your radiographic findings?
2 What is your radiographic diagnosis?
Image
1.1a
Image
1.1b
Image
1.1c
Image
1.1d
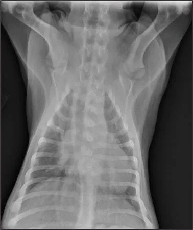
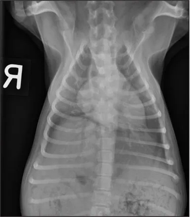
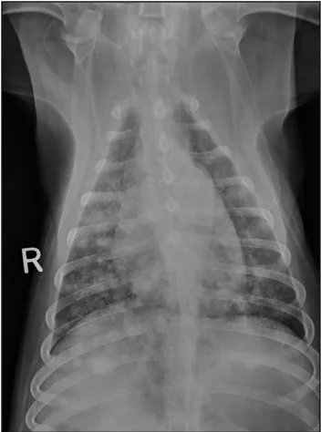
CASE 1.2 A 4-month-old female domestic shorthair cat with shallow breathing and a grade III/VI continuous murmur at the left cranial base. You obtain these thoracic radiographs: Fig. 1.2a, right lateral projection; Fig. 1.2b, dorsoventral projection.
1 What are your radiographic findings?
2 What is your radiographic diagnosis?
3 Is additional imaging needed?
Image
1.2a
Image
1.2b
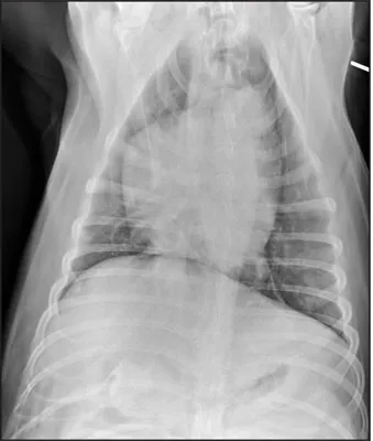
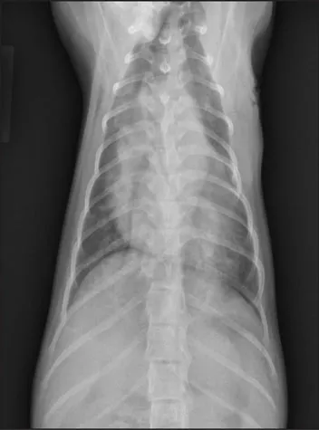
CASE 1.3 An 8-year-old male German Shepherd Dog with lethargy and muffled heart sounds. No heart murmur ausculted. You obtain these thoracic radiographs: Fig. 1.3a, left lateral projection; Fig. 1.3b, dorsoventral projection.
1 What are your radiographic findings?
2 What is your radiographic diagnosis?
3 Is additional imaging needed?
Image
1.3a
Image
1.3b
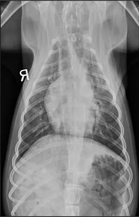
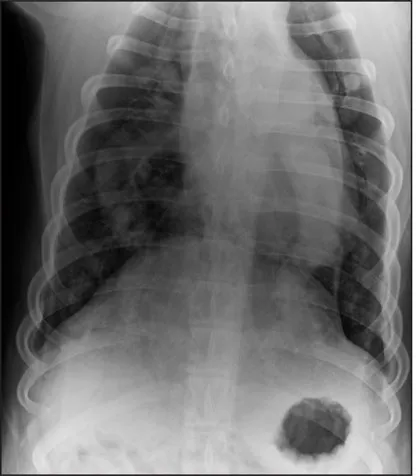
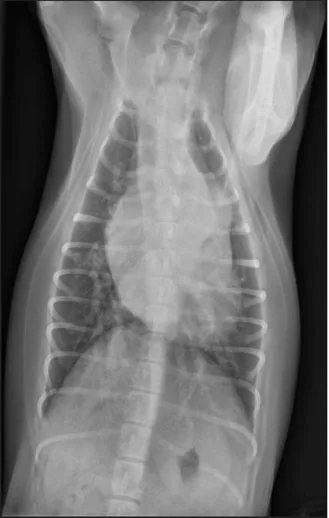
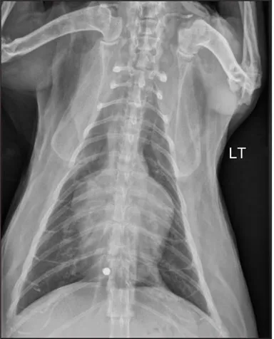
CASE 1.4 A 13-year-old spayed female mixed breed dog with a history of polyuria and polydipsia and abdominal distension. You obtain these thoracic radiographs: Fig. 1.4a, left lateral projection; Fig. 1.4b, dorsoventral projection.
1 What are your radiographic findings?
2 What is your radiographic diagnosis?
3 Are any additional radiographs needed?
Image
1.4a
Image
1.4b
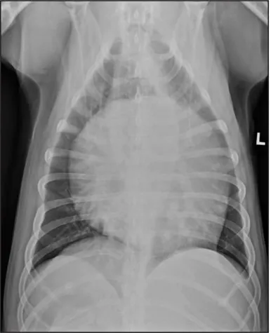
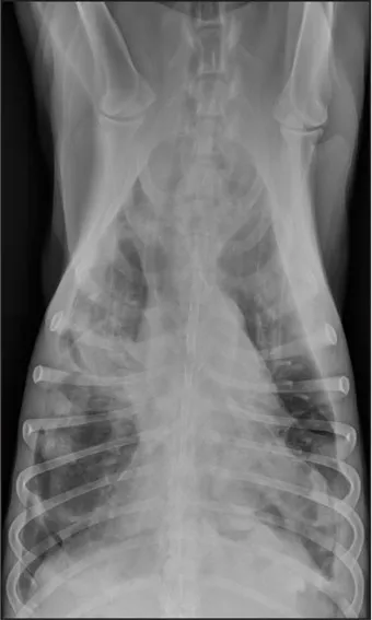
CASE 1.5 An 8-year-old spayed female English Mastiff with a 2-week history of labored breathing, anorexia, and weight loss. You obtain these thoracic radiographs: Fig. 1.5a, right lateral projection; Fig. 1.5b, dorsoventral projection.
1 What are your radiographic findings?
2 What is your radiographic diagnosis?
Image
1.5a
Image
1.5b
CASE 1.6 A 10-week-old male Beagle with abnormal mentation, tachypnea, and ptyalism. On physical examination, a hemorrhagic and erythematous lesion is found in the oral cavity. You obtain these thoracic radiographs: Figs. 1.6a, b, left lateral and right lateral projections, respectively; 1.6c, dorsoventral projection.
1 What are your radiographic findings?
2 What is your radiographic diagnosis?
3 Are any additional radiographic views needed?
Image
1.6a
Image
1.6b
Image
1.6c
CASE 1.7 A 9-year-old spayed female Vizla with a 3-week history of stumbling and weakness following exercise and regurgitation following eating. You obtain these thoracic radiographs: Figs. 1.7a, b, left and right lateral projections, respectively; Fig. 1.7c, dorsoventral projection.
1 What are your radiographic findings?
2 What is your radiographic diagnosis?
Image
1.7a
Image
1.7b
Image
1.7c
CASE 1.8 A 12-year-old neutered male Jack Russell Terrier with a productive cough. You obtain these thoracic radiographs: Figs. 1.8a, b, left and right lateral projections, respectively; Fig. 1.8c, ventrodorsal projection.
1 What are your radiographic findings?
2 What is your radiographic diagnosis?
Image
1.8a
Image
1.8b
Image
1.8c
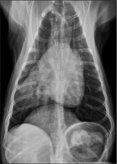
CASE 1.9 A 10-year-old neutered male Golden Retriever with labored breathing and exercise intolerance. You obtain these throacic radiographs: Fig. 1.9a, left lateral projection; Fig. 1.9b, dorsoventral projection.
1 What are your radiographic findings?
2 What is your radiographic diagnosis?
3 Are additional radiographic projections needed?
Image
1.9a
Image
1.9b
CASE 1.10 A 3-year-old neutered male domestic shorthair cat with acute hindlimb paralysis and tachycardia. You obtain these thoracic radiographs: Fig. 1.10a, left lateral projection; Fig. 1.10b, dorsoventral projection.
1 What are your radiographic findings?
2 What is your radiographic diagnosis?
3 Is additional imaging needed?
Image
1.10a
Image
1.10b
CASE 1.11 A 4-year-old female German Shorthair Pointer with a 1-week history of a cough, dyspnea, and lethargy. You obtain these thoracic radiographs: Figs. 1.11a, b, left and right lateral projections, respectively; Fig. 1.11c, ventrodorsal projection.
1 What are your radiographic findings?
2 What is your radiographic diagnosis?
Image
1.11a
Image
1.11b
Image
1.11c
CASE 1.12 A 9-year-old spayed female cat with a cough and lethargy. Crackles and wheezes were auscultated on physical examination. You obtain these thoracic radiographs: Fig. 1.12a, right lateral projection; 1.12b, dorsoventral projection.
1 What are your radiographic findings?
2 What is your radiographic diagnosis?
3 Is further imaging needed?
Image
1.12a
Image
1.12b
CASE 1.13 A 3-month-old male Newfoundland with episodes of weakness with cyanosis and an occasional, dry cough. On auscultation, a grade V/VI holosystolic basilar murmur was identified. You obtain these thoracic radiographs: Fig. 1.13a, right lateral projection; 1.13b, dorsoventral projection.
1 What are your radiographic findings?
2 What is your radiographic diagnosis?
3 Is further imaging needed?
Image
1.13a
Image
1.13b
CASE 1.14 A 5-month-old female Shetland Sheepdog with exercise intolerance and shortness of breath. You obtain these thoracic radiographs: Figs. 1.14a, b, left and right lateral projections, respectively; Fig. 1.14c, dorsoventral projection.
1 What are your radiographic findings?
2 What is your radiographic diagnosis?
Image
1.14a
Image
1.14b
Image
1.14c
CASE 1.15 A 2-year-old neutered male mixed breed canine with intermittent vomiting, which has recently increased to three times daily, and muffled heart sounds. You obtain these thoracic radiographs: Fig. 1.15a, left lateral projection; Fig. 1.15b, dorsoventral projection.
1 What are your radiographic findings?
2 What is your radiographic di...

Table of contents

  1. Cover
  2. Half Title
  3. Title Page
  4. Copyright Page
  5. Table of Contents
  6. Preface
  7. Acknowledgments
  8. Broad Classification of Cases
  9. Normal Dog and Cat Anatomy
  10. Section 1: Thorax
  11. Section 2: Abdomen
  12. Section 3: Musculoskeletal System
  13. Index

Frequently asked questions

Yes, you can cancel anytime from the Subscription tab in your account settings on the Perlego website. Your subscription will stay active until the end of your current billing period. Learn how to cancel your subscription
No, books cannot be downloaded as external files, such as PDFs, for use outside of Perlego. However, you can download books within the Perlego app for offline reading on mobile or tablet. Learn how to download books offline
Perlego offers two plans: Essential and Complete
  • Essential is ideal for learners and professionals who enjoy exploring a wide range of subjects. Access the Essential Library with 800,000+ trusted titles and best-sellers across business, personal growth, and the humanities. Includes unlimited reading time and Standard Read Aloud voice.
  • Complete: Perfect for advanced learners and researchers needing full, unrestricted access. Unlock 1.5M+ books across hundreds of subjects, including academic and specialized titles. The Complete Plan also includes advanced features like Premium Read Aloud and Research Assistant.
Both plans are available with monthly, semester, or annual billing cycles.
We are an online textbook subscription service, where you can get access to an entire online library for less than the price of a single book per month. With over 1.5 million books across 990+ topics, we’ve got you covered! Learn about our mission
Look out for the read-aloud symbol on your next book to see if you can listen to it. The read-aloud tool reads text aloud for you, highlighting the text as it is being read. You can pause it, speed it up and slow it down. Learn more about Read Aloud
Yes! You can use the Perlego app on both iOS and Android devices to read anytime, anywhere — even offline. Perfect for commutes or when you’re on the go.
Please note we cannot support devices running on iOS 13 and Android 7 or earlier. Learn more about using the app
Yes, you can access Small Animal Imaging by John S. Mattoon,Dana Neelis in PDF and/or ePUB format, as well as other popular books in Medicine & Medical Technology & Supplies. We have over 1.5 million books available in our catalogue for you to explore.