
Measurement in Ultrasound
- 414 pages
- English
- ePUB (mobile friendly)
- Available on iOS & Android
Measurement in Ultrasound
About this book
Measurement and interpretation of key ultrasound parameters are essential to differentiate normal anatomy from pathology. By using Measurement in Ultrasound, trainee radiologists and ultrasonographers can gain an appreciation of such measurements, while practitioners can use it as a valuable reference in the clinical setting.
The book follows a consistent format throughout for ease of reference and features useful information on preparation and positioning of the patient for ultrasound, the type of transducer and method to be used, the appearance of the resulting ultrasound images and the measurements to be derived from them.
Designed for frequent use in everyday practice, the book includes more than 150 high-quality ultrasound images annotated with key measurements and accompanied by concise explanatory text. Normal variants are provided, along with ranges for features that can change during development and in disease.
This new edition covers relevant developments in ultrasound. Where appropriate, updated ultrasound measurements that have arisen are also included and key references are provided as an aid to further study.
Frequently asked questions
- Essential is ideal for learners and professionals who enjoy exploring a wide range of subjects. Access the Essential Library with 800,000+ trusted titles and best-sellers across business, personal growth, and the humanities. Includes unlimited reading time and Standard Read Aloud voice.
- Complete: Perfect for advanced learners and researchers needing full, unrestricted access. Unlock 1.4M+ books across hundreds of subjects, including academic and specialized titles. The Complete Plan also includes advanced features like Premium Read Aloud and Research Assistant.
Please note we cannot support devices running on iOS 13 and Android 7 or earlier. Learn more about using the app.
Information
1 Upper Abdominal
Hedayati, Colin R. Deane,
Keshthra Satchithananda and
Paul S. Sidhu
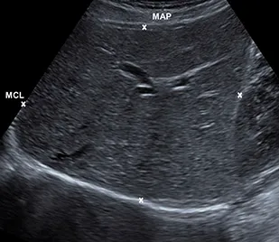
Liver size
Preparation
Position
Transducer
Method
Appearance
Measurements
Diameter | Female cm (mean ± SD) | Male cm (mean ± SD) |
Midclavicular line (largest craniocaudal diameter) | 14.9 ± 1.6 | 15.1 ± 1.5 |



Further Reading
Liver fibrosis assessment
Preparation
Position
Transducer
Method
Appearance
Measurements
(usi...
Table of contents
- Cover Page
- Half title
- title
- copy
- fmchapter
- bio
- Adults
- 1 Upper Abdominal
- 2 URINARY TRACT
- 3 Organ Transplantation
- 4 Genital Tract
- 5 Gastrointestinal Tract
- 6 Superficial Structures
- 7 Peripheral Vascular (Arterial)
- 8 Peripheral Vascular (Venous)
- 9 Musculoskeletal System
- 10 UPPER ABDOMEN
- 11 Renal Tract
- 12 Pediatric Uterus, Ovary, and Testis
- 13 NEONATAL BRAIN
- Part Obstetrics
- 14 Obstetrics
- Index