Pediatric Orthodontics: Theory and Practice provides readers (practicing dentists, medical residents, pediatric specialists) with the knowledge to manage cases in regular pediatric orthodontic practice by presenting answers to specific problems related to diagnosis, clinical findings and treatment methods. It is also an essential supplement for the post-graduate student's dental curriculum. The book's problem based format allows readers to test and improve their knowledge about relevant topics which include craniofacial growth, facial aesthetics, musculoskeletal structure, occlusal guidance, maxillary transverse discrepancy, dental anomalies, tooth impaction, and, class II and class III malocclusions. Key Features:
easy to understand, topical presentation of information relevant to pediatric orthodontics
visual aids for clear explanations (more than 280 figures)
unique question-answer / problem based format which allows the reader to quickly focus on a specific area of interest (more than 216 questions)
bibliographic references at the end of each chapter

- English
- ePUB (mobile friendly)
- Available on iOS & Android
eBook - ePub
Pediatric Orthodontics: Theory and Practice
About this book
Trusted by 375,005 students
Access to over 1.5 million titles for a fair monthly price.
Study more efficiently using our study tools.
Information
Class II, Class III Malocclusion
George Litsas
Abstract
Class II malocclusion is a much more frequent type of skeleton-dental disharmony than a class III malocclusion. The nature of these malocclusions is not a result of a single component, but a variety of different dental and skeletal combinations such as maxillary-mandibular skeletal and dental position, as well as the vertical components. The more severe the malocclusion at the young ages, the greater the psychosocial and functional problems present. The disharmony could become more pronounced during the pubertal peak period and continue until growth is completed. As a result, it is important to understand the aetiology of these malocclusions so that orthodontic treatments can focus on possible prevention or early intervention in order to avoid any related craniofacial deformities. The timing of treatment varies from early intervention during the pre-pubertal stages of growth or intervention during the peak-growth stage after the patient has completed their active growth.
Keywords: Functional appliances, Orthopaedic treatment, Skeletal discrepancy.
INTRODUCTION
The Class II malocclusion is a common skeletal problem seen in orthodontics. Approximately 15% of the Caucasian population has a Class II malocclusion greater than 5 mm. On the other hand, the prevalence of Class III malocclusions differs between different ethnic groups. Class III malocclusions are seen less often in Caucasian than Chinese or Japanese populations. Both skeletal imbalances are established early in life and are not self-correcting during development. In both malocclusions, there is a discrepancy between the maxillary and the mandibular dentition, which may or may not be accompanied by skeletal discrepancy. However, sagittal changes are largely due to the differential growth of the mandible rather than the maxilla. There are various techniques to correct Class II malocclusions, including functional and fixed appliances, extra-oral forces, elastics, extractions and even surgery.
Part A. Class II malocclusion
1. What is a Class II Malocclusion?
Angle describes Class II malocclusions as dental relationships where the lower
first molars are locked distally to the upper first molars by at least half a cusp width on both the left and right sides of the jaw when compared to Class I. Angle’s definition was based on the upper first molar, which was the “key to occlusion.” Although the classification by Angle is restricted to dental relation- ships, it is still widely used because of its simplicity as well as a method of communication between dental professionals. Angle subdivided the Class II malocclusion into two types based on the inclination of the maxillary central incisors [1].
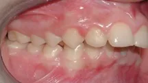
The Angle Class II/I is characterised by protruding and flaring upper incisors, increased overjet and deep bite in some cases (Figs. 1 & 2), and more or less “V” shaped maxillary arch [1-4].

Angle class II/I lateral view.

Angle class II/I frontal view.
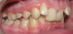
The class II/II malocclusion is characterised by less narrowing of the upper arch, retroclined maxillary central incisors, overlapped on the labial by the lateral incisors deep bite and minimal overjet (Fig. 3). Sometimes, both the central and the lateral incisors are lingual inclined and overlapped by the labial inclined canines (Fig. 4). The mandibular incisors are either retroclined or normal [5-7].

Angle class II/II lateral view.

Angle class II/II lateral view.
2. What is the Aetiology of Class II Malocclusion?
Heredity: Craniofacial structures are developed from complex processes of tissue interactions, cell migrations and coordinated growth. Part of Class II malocclusion is heritability and is consistent with a polygenic mode of inheritance. Neural crest cells are thought to be controlled by homeobox genes (Msx-1 and Msx-2) and their derivations include the maxilla, mandible, zygomatic, nasal bones and bones of the cranial vault. Disruption in the migration of the neural crest cells can produce dento-alveolar abnormalities and skeletal asymmetries. Due to the significant genetic complexity in the formation of the face and jaws, it is difficult to ascertain what genes are affecting various features in a particular malocclusion case [8-10].
Environment: Nose allergies, premature loss of maxillary primary molars, mouth breathing, pacifier thumb and lip sucking [4, 11]. Heredity and environment have variable influences on the development of malocclusion in each individual. However, the percentage of genetics contribution versus environmental factors has never been clearly defined and is often different between individuals and such influences must be evaluated and taken into consid...
Table of contents
- Welcome
- Table of Contents
- Title
- BENTHAM SCIENCE PUBLISHERS LTD.
- PREFACE
- Craniofacial Growth
- Soft Tissue Evaluation
- Hard Tissue Evaluation and Dental Relationship Assessment
- Development of the Occlusion
- Interceptive Treatment
- Maxillary Expansion in Mixed Dentition
- Dental Anomalies -Tooth Impaction
- Class II, Class III Malocclusion
Frequently asked questions
Yes, you can cancel anytime from the Subscription tab in your account settings on the Perlego website. Your subscription will stay active until the end of your current billing period. Learn how to cancel your subscription
No, books cannot be downloaded as external files, such as PDFs, for use outside of Perlego. However, you can download books within the Perlego app for offline reading on mobile or tablet. Learn how to download books offline
Perlego offers two plans: Essential and Complete
- Essential is ideal for learners and professionals who enjoy exploring a wide range of subjects. Access the Essential Library with 800,000+ trusted titles and best-sellers across business, personal growth, and the humanities. Includes unlimited reading time and Standard Read Aloud voice.
- Complete: Perfect for advanced learners and researchers needing full, unrestricted access. Unlock 1.5M+ books across hundreds of subjects, including academic and specialized titles. The Complete Plan also includes advanced features like Premium Read Aloud and Research Assistant.
We are an online textbook subscription service, where you can get access to an entire online library for less than the price of a single book per month. With over 1.5 million books across 990+ topics, we’ve got you covered! Learn about our mission
Look out for the read-aloud symbol on your next book to see if you can listen to it. The read-aloud tool reads text aloud for you, highlighting the text as it is being read. You can pause it, speed it up and slow it down. Learn more about Read Aloud
Yes! You can use the Perlego app on both iOS and Android devices to read anytime, anywhere — even offline. Perfect for commutes or when you’re on the go.
Please note we cannot support devices running on iOS 13 and Android 7 or earlier. Learn more about using the app
Please note we cannot support devices running on iOS 13 and Android 7 or earlier. Learn more about using the app
Yes, you can access Pediatric Orthodontics: Theory and Practice by George Litsas in PDF and/or ePUB format, as well as other popular books in Medicine & Dentistry. We have over 1.5 million books available in our catalogue for you to explore.