
eBook - ePub
Recent Progress in Hormone Research
Proceedings of the 1986 Laurentian Hormone Conference
- 566 pages
- English
- ePUB (mobile friendly)
- Available on iOS & Android
eBook - ePub
Recent Progress in Hormone Research
Proceedings of the 1986 Laurentian Hormone Conference
About this book
Recent Progress in Hormone Research, Volume 43 covers the proceedings of the annual Laurentian Hormone Conference which was held in Montebello, Quebec, Canada in August 1986. The book presents articles on proopiomelanocortin-derived peptides in testis, ovary, and tissues of reproduction; the molecular mechanism of action of gonadotropin releasing hormone (GNRH) in the pituitary; and the mammalian GNRH gene and its pivotal role in reproduction. The text also includes papers on cachectin; the regulation of ACTH secretion; and the detection and measurement of hormone secretion from individual pituitary cells. Papers on ovarian follicular development; the biological actions of prolactin in human breast cancer; as well as the genetics of steroid 21-hydroxylase deficiency are also encompassed. The book also tackles the secretory control in normal and abnormal parathyroid tissue; the structure-function relationships of gonadotropins; and the gene structure and mechanism of action of Mullerian inhibiting substance. Endocrinologists, physiologists, biochemists, and scientists involved in hormone research will find the book invaluable.
Trusted by 375,005 students
Access to over 1.5 million titles for a fair monthly price.
Study more efficiently using our study tools.
Information
Proopiomelanocortin-Derived Peptides in Testis, Ovary, and Tissues of Reproduction1
C. WAYNE BARDIN*, CHING-LING C. CHEN*, PATRICIA L. MORRIS*, IDA GERENDAIâ , CARLA BOITANIâĄ, ANTHONY S. LIOTTA§, ANDY MARGIORIS§ and DOROTHY T. KRIEGER§2, *The Population Council, New York, New York 10021 Mount Sinai Medical Center, New York, New York 10029; â The 2nd Department of Anatomy, Semmelweis University Medical School, Tuzolto utca 58, 1094 Budapest IX, Hungary Mount Sinai Medical Center, New York, New York 10029; âĄInstituto di Istologia ed Embriologia, Facolta di Medicina, Universita di Roma, 00161 Rome, Italy Mount Sinai Medical Center, New York, New York 10029; §Division of Endocrinology, Mount Sinai Medical Center, New York, New York 10029
Publisher Summary
Proopiomelanocortin (POMC)-derived peptides act as paracrine and autocrine regulators of Sertoli and Leydig cells, respectively. Proopiomelanocortin is a precursor molecule that gives rise to multiple peptides that appear to have been used throughout phylogeny for various purposes. In prokaryotes, these peptides may act as chemotactic agents whereas in eukaryotes the same peptides may act by multiple actions. For example, in the pituitary gland, these peptides are secreted as classic hormones; in the central nervous system, they act as neurotransmitters; and in the testis as autocrine and paracrine regulators. The fact that immune-stainable β-endorphin and other POMC-derived peptides in Leydig cells appear to increase during periods of testosterone synthesis in fetal life and again at puberty suggests that the expression of these peptides might be dependent upon gonadotropin secretion. The chapter also explains the effect of human chorionic gonadotropin (hCG) treatment on testicular POMC-like mRNA in hypo-physectomized animals. It has been found that treatment with hCG resulted in an increase in total content of POMC-like mRNA in the testis.
I Introduction
In the early years of the Laurentian Hormone Conference we observed that Dr. Pincus was a man of enormous energy and accomplishment. It seemed that he was bigger than life itself and impossible to emulate. As the years have not dimmed these impressions, it is a pleasure to remember Dr. Pincus with this lecture.
It is also appropriate to recount how this series of experiments on proopiomelanocortin (POMC) and its derivative peptides that are the subject of this review began. It is seldom that one can recall exactly when the idea for a study occurred. There were obviously numerous experiments demonstrating the presence of POMC-derived peptides including ACTH, Îą-MSH, and β-endorphin in the pituitary, brain, and peripheral tissues that prepared us subliminally for the ideas that evolved (Saito and Odell, 1983; Saito et al., 1983; Odell et al., 1977; Krieger et al., 1980; Krieger and Martin, 1981; Roth et al., 1982; Roberts et al., 1982; Guillemin et al., 1977; Civelli et al., 1982; Nakanishi et al., 1979; Hollt et al., 1982; Steen-bergh et al., 1984). The story began in March 1981, when Dorothy Krieger asked if we had seen the paper in the latest issue of The Journal of Endocrinology and Metabolism by Sharp and Pekary (1981) on the presence of β-endorphin-like material in human semen. She suggested that we try to confirm these observations. At first we were reluctant since we felt that the immunoassays performed on semen were often flawed by the presence of proteases. Nonetheless, we obtained semen samples from reluctant rabbits, which were shown to contain β-endorphin by radioimmunoassay. These observations led to the studies that are the basis of the 1986 Gregory Pincus Memorial Lecture. We miss Dr. Dorothy Krieger at this yearâs conference; we wish that she could have made this presentation summarizing the many studies she stimulated us to perform.
II Localization of Immunoreactive POMC-Derived Peptides in Testis, Ovary, and Reproductive Tract
Following the identification of immunoreactive β-endorphin in semen, this peptide was localized in the Leydig cells of mature rat, hamster, guinea pig, rabbit, and mouse by immunostaining (Fig. 1a) (Tsong et al., 1982a, b). No immunostainable material was detected in Sertoli, myoid, or germ cells in any of these species. Immunostaining was reduced markedly when the primary antiserum was replaced with absorbed antiserum, preimmune, or hyperimmune sera. When an ACTH antibody which reacts with determinants within the N- and C-termini, and midportion of synthetic hACTH-(l-39) was employed, immunoreactive material was detected in Ley dig cells but in no other part of the testis. Furthermore, studies in mouse and hamster testes utilizing an antiserum to γ3-melanocyte-stimulating hormone (MSH) also revealed staining of Leydig cells (Shaha et al., 1984a). The observation that antisera against peptides derived from the N-terminal, midportion, and C-terminal portions of POMC all demonstrated immunostainable material in the same cells raised the question as to whether this precursor and/or its component peptides were present in the testis.

FIG. 1 Immunostaining of Leydig cells (a) and epithelium of epididymis (c) with anti-β-endorphin antiserum. Antiserum absorbed with β-endorphin (b,d). Ă450.
Multiple antisera against β-endorphin, γ3-MSH, and the N-terminal portion of POMC (16K fragment) were also used to study the ovary. Immunostainable material was present in ovaries of pregnant and normally cycling (but not immature) mice. Intense staining was found predominantly in the corpora lutea (Fig. 2) (Shaha et al., 1984b; Lolait et al., 1985). Less intense staining was observed in the interstitium and in the following parts of large follicles: parietal granulosa, corona radiata, and cumulus oophorus (Shaha et al., 1984b). Sheep follicular cells in culture also stained with β-endorphin antiserum (Lim et al., 1983).

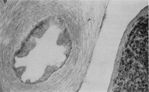
FIG. 2 Immunostainable β-endorphin in the corpus luteum (right) and oviduct (left) of the rat. The epithelium of the oviduct shows moderate immunostaining compared to the corpus luteum, which is heavily stained. Ă73.
Using similar antisera, the epithelia of the epididymis (Fig. 1c), seminal vesicle, vas deferens, uterus, and oviduct (Fig. 2) demonstrated immunostainable material (Tsong et al., 1982a). These results (summarized in Table I) suggest that POMC and/or its derived peptides are present throughout the gonads and reproductive tract. The presence of immunoassayable material was also detected with antibodies against POMC-derived peptides in fluids or extracts from gonads and reproductive tissues (Sharp et al., 1980; Sharp and Pekary, 1981; Tsong et al., 1982b; Valenca and Negro-Vilar, 1986; Lim et al., 1983)....
Table of contents
- Cover image
- Title page
- Table of Contents
- Copyright
- LIST OF CONTRIBUTORS AND DISCUSSANTS
- PREFACE
- ROY O. GREEP
- Chapter 1: Proopiomelanocortin-Derived Peptides in Testis, Ovary, and Tissues of Reproduction
- Chapter 2: The Molecular Mechanism of Action of Gonadotropin Releasing Hormone (GnRH) in the Pituitary
- Chapter 3: The Mammalian GnRH Gene and Its Pivotal Role in Reproduction
- Chapter 4: Cachectin: A Pluripotent Hormone Released during the Host Response to Invasion
- Chapter 5: Regulation of ACTH Secretion: Variations on a Theme of B
- Chapter 6: Detection and Measurement of Hormone Secretion from Individual Pituitary Cells
- Chapter 7: Ovarian Follicular Development: From Physiology to Molecular Biology
- Chapter 8: Biological Actions of Prolactin in Human Breast Cancer
- Chapter 9: Genetics of Steroid 21-Hydroxylase Deficiency
- Chapter 10: Secretory Control in Normal and Abnormal Parathyroid Tissue
- Chapter 11: StructureâFunction Relationships of Gonadotropins
- Chapter 12: MĂźllerian Inhibiting Substance: Gene Structure and Mechanism of Action of a Fetal Regressor
- Chapter 13: Molecular and Regulatory Properties of Adrenergic Receptors
- Chapter 14: Developmental and Hormonal Regulation of Neuroendocrine Gene Transcription
- INDEX
Frequently asked questions
Yes, you can cancel anytime from the Subscription tab in your account settings on the Perlego website. Your subscription will stay active until the end of your current billing period. Learn how to cancel your subscription
No, books cannot be downloaded as external files, such as PDFs, for use outside of Perlego. However, you can download books within the Perlego app for offline reading on mobile or tablet. Learn how to download books offline
Perlego offers two plans: Essential and Complete
- Essential is ideal for learners and professionals who enjoy exploring a wide range of subjects. Access the Essential Library with 800,000+ trusted titles and best-sellers across business, personal growth, and the humanities. Includes unlimited reading time and Standard Read Aloud voice.
- Complete: Perfect for advanced learners and researchers needing full, unrestricted access. Unlock 1.5M+ books across hundreds of subjects, including academic and specialized titles. The Complete Plan also includes advanced features like Premium Read Aloud and Research Assistant.
We are an online textbook subscription service, where you can get access to an entire online library for less than the price of a single book per month. With over 1.5 million books across 990+ topics, weâve got you covered! Learn about our mission
Look out for the read-aloud symbol on your next book to see if you can listen to it. The read-aloud tool reads text aloud for you, highlighting the text as it is being read. You can pause it, speed it up and slow it down. Learn more about Read Aloud
Yes! You can use the Perlego app on both iOS and Android devices to read anytime, anywhere â even offline. Perfect for commutes or when youâre on the go.
Please note we cannot support devices running on iOS 13 and Android 7 or earlier. Learn more about using the app
Please note we cannot support devices running on iOS 13 and Android 7 or earlier. Learn more about using the app
Yes, you can access Recent Progress in Hormone Research by James H. Clark in PDF and/or ePUB format, as well as other popular books in Biological Sciences & Physiology. We have over 1.5 million books available in our catalogue for you to explore.