Popular demand for dental implants as a reliable long-term option to replace missing teeth has risen dramatically. However, situations remain that pose challenges to practitioners and the treatment process. Written by renowned clinicians and supported by cases contributed by expert practitioners, the present volume of the ITI Treatment Guide series highlights the integration and management of peri-implant soft tissues. It discusses soft-tissue management before and during implant placement and during supportive peri-implant therapy and addresses the techniques and materials used for peri-implant soft-tissue augmentation and replacement and for the treatment of peri-implant soft-tissue dehiscences. Volume 12 of the ITI Treatment Guides series offers clinicians a comprehensive overview of various evidence-based techniques and treatment approaches for use in daily practice, with a focus on current techniques and materials.

eBook - ePub
Peri‑Implant Soft‑Tissue Integration and Management
- 224 pages
- English
- ePUB (mobile friendly)
- Available on iOS & Android
eBook - ePub
Peri‑Implant Soft‑Tissue Integration and Management
About this book
Trusted by 375,005 students
Access to over 1 million titles for a fair monthly price.
Study more efficiently using our study tools.
Information
1 Introduction
M. Roccuzzo
In the earlier days of implant dentistry, osseointegration was considered to be a sufficient condition for long-term successful implant rehabilitation. With time, however, it became evident that soft-tissue integration is of significant importance and that the formation of an early and long-standing effective mucosal barrier, capable of biologically protecting the peri-implant structures, is essential. This soft-tissue barrier is mainly the result of a wound-healing process that results in an effective interface between “living tissues” and a “foreign body” (Rompen and coworkers 2006).
Whether the presence of a minimum amount of keratinized mucosal (KM) is necessary for the long-term maintenance of peri-implant health has been controversial for many years. Several researchers have found that insufficient KM may be correlated with plaque accumulation, bleeding on probing, discomfort when brushing, mucosal recession, and peri-implant mucositis (Bouri and coworkers 2008; Boynueğri and coworkers 2013; Chung and coworkers 2006; Roccuzzo and coworkers 2016). Other researchers were unable to obtain similar findings (Frisch and coworkers 2015), with some even suggesting that KM may not be essential in the presence of scrupulous oral hygiene and rigorous compliance with a professional maintenance regimen (Lim and coworkers 2019).
On the other hand, complete osseointegration and perfect soft-tissue integration are not necessarily correlated with successful esthetic rehabilitation of a missing tooth or teeth. Indeed, success criteria for esthetically sensitive areas must include measurements of the peri-implant mucosa, as well as the restoration and its relationship to the surrounding dentition (Belser and coworkers 2004).
Apart from the prosthetic aspects, sufficient horizontal and vertical volume is also essential for long-term esthetic soft-tissue stability. Where soft-tissue deficiencies exist, appropriate augmentation procedures may be required for comprehensive rehabilitation. Recent advances in implant dentistry have provided clinicians with various treatment options to treat peri-implant soft-tissue defects. At the same time, though, soft-tissue grafting procedures are of moderate to high complexity and may be associated with a significant risk of complications. For this reason, various step-by-step procedures have been outlined and illustrated by individual case descriptions for the reader of this book.
The aim of this ITI Treatment Guide is to foster awareness of the increasing demands on clinicians to provide treatment for a growing population of patients with soft-tissue related problems. The authors hope that Volume 12 will be a valuable resource and reference work for the treatment of patients with mucogingival deformities to reduce the risk of biological and esthetic complications and to ensure predictable and stable long-term results.
2 Importance of the Peri-Implant Soft Tissues
A. Sculean
Dental implants are anchored in jawbone via direct contact between the bone and the implant, a phenomenon called osseointegration (Albrektsson and coworkers 1981). Emerging evidence indicates that the long-term success and survival of implants does not depend solely on osseointegration, but also on the soft tissues around the transmucosal aspect of the implant that separate the peri-implant bone from the oral cavity. This soft-tissue seal or collar is also called the peri-implant mucosa (Lindhe and coworkers 2008). The attachment of the soft tissue to the implant serves as a biological seal that ensures healthy conditions and prevents the development of peri-implant infections (peri-implant mucositis and peri-implantitis). Consequently, the peri-implant soft tissues play a crucial role for long-term implant survival (Lindhe and coworkers 2008).
The soft tissue around teeth develops during tooth eruption and seals the supporting tissues (the alveolar bone, periodontal ligament, and cementum) against the oral cavity (Bosshardt and Lang 2005). The peri-implant mucosa forms after traumatizing the oral soft and hard tissues to accommodate osseointegrated implants. The following presents a brief description of the most important anatomical features of the periodontal and peri-implant tissues.
Structure of periodontal tissues in health
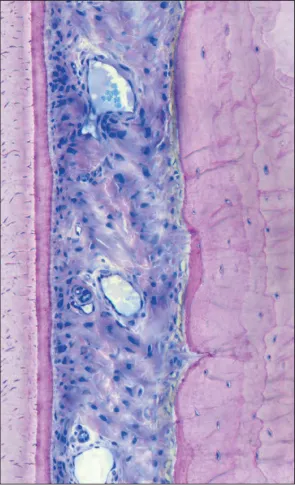
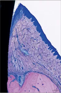
The periodontium comprises the tissues supporting the teeth: the tooth-facing part of the gingiva, the root cementum, the periodontal ligament, and the part of the alveolar process that lines the tooth socket, termed alveolar bone (Schroeder and Listgarten 1997) (Figs 1 to 5).

Fig 1 Photomicrograph. Tooth with a healthy periodontium. Supporting tissues of the tooth consisting of the root cementum, periodontal ligament, alveolar bone, and gingiva.

Fig 2 Photomicrograph. Supra-alveolar soft tissue consisting of the oral sulcular epithelium, junctional epithelium, and connective-tissue attachment (collagen fibers inserting into the root cementum). The junctional epithelium ends at the cementoenamel junction (CEJ) at the point of the insertion of the collagen fibers into the root cementum.

Fig 3 Higher magnification. Supra-alveolar soft tissue comprising the junctional epithelium and root cementum with inserting collagen fibers. Well-encapsulated minor inflammatory cell infiltrate (arrow) located adjacently to the junctional epithelium.

Fig 4 Higher magnification. Oral sulcular epithelium and junctional epithelium. The apical extension of the junctional epithelium ends at the cementoenamel junction. The well-encapsulated inflammatory cell infiltrate (arrow) is clearly distinguishable next to the junctional epithelium.

Fig 5 Higher magnification. Intact periodontal ligament connecting the root cementum with the alveolar bone. The collagen fibers invest in both root cementum and alveolar bone.
As they develop, the teeth penetrate the epithelial lining of the oral cavity and then persist as transmucosal organs. Their root portion is anchored in the bone, while the crown resides in the oral cavity. The most important function of the gingiva is to protect the underlying soft and hard connective tissues from penetration by microorganisms from the oral cavity. The gingiva terminates coronally at the gingival margin; apically it ends at the mucogingival junction or becomes continuous with the mucosa of the hard palate. The gingival sulcus has an approximate depth of 0.5 mm; however, in a completely healthy situation, it may not be clinically detectable (Schroeder and Listgarten 1997).
The interdental region contains a structure called the gingival papilla. The gingiva consists of two parts, the free gingiva and the attached gingiva. The free gingiva comprises the coronal portion of the gingiva and follows the contour of the cementoenamel junction, varying in width between 1 and 2 mm (Ainamo and Löe 1966). Its apical boundary is accentuated by a stippled line; a gingival groove may also be present. The attached gingiva stretches between the end of the free gingiva and the alveolar mucosa, or the mucosa of the floor of the mouth. Because the palatal mucosa extends to the free gingiva, there is no attached gingiva in the palate. The width of the attached gingiva may range from 1 to 10 mm (Ainamo and Löe 1966).
Junctional epithelium
The junctional epithelium is a non-keratinized epithelium that, due to its unique structural and functional adaptation, plays a critical role in maintaining periodontal health by providing a functional barrier to microbial challenges. Cell division occurs in the basal layer facing the lamina propria, while the innermost cells constitute the epithelial attachment. It consists of the basal lamina and hemidesmosomes that connect the epithelial cells with the tooth surface (Bosshardt and Lang 2005).
Connective tissue of the gingiva
The connective tissue of the gingiva consists mainly of fibroblasts exhibiting phenotypes that differ from those from the periodontal ligament (Bartold and coworkers 2000). They are arranged as groups of collagen fibers with a complex three-dimensional architecture that allows polymorphonuclear neutrophils (PMNs) and mononuclear cells to migrate through the connective tissue until they can pass the basement membrane bordering the junctional epithelium. Even in clinically healthy circumstances, an inflammatory cell infiltrate will be present and can be considered a common (normal) characteristic of the connective tissue adjacent to the junctional epithelium.
Periodontal ligament
The soft connective tissue interposed between the alveolar bone and the root cementum is called the periodontal ligament. Coronal to the alveolar crest, the periodontal ligament merges with the lamina propria of the gingiva, while it is continuous with the dental pulp periapically. The width of the periodontal ligament measures approximately 200 µm, being thinnest in the middle third of the root. Its width decreases with age.
The most important function of the periodontal ligament is to attach the tooth to the surrounding bone. Another important function is the damping of occlusal forces. Additionally, the periodontal ligament serves as an important reservoir for cells that are constantly needed for tissue homeostasis and play a crucial role in periodontal wound healing and regeneration (periodontal fibroblasts, cementoblasts, odontoclasts, osteoblasts and osteoclasts, epithelial cell rests of Malassez, monocytes and macrophages, and undifferentiated mesenchymal progenitor and stem cells).
The fibroblasts of the periodontal ligament synthesize, structure, and remodel the extracellular matrix, which consists of collagen fibers and an amorphous ground substance composed of non-collagenous proteins. Due to its structural configuration, the periodontal ligament provides a flexible attachment of the tooth to the surrounding bone via Sharpey’s fibers into the mineralized tissues (Nanci and Bosshardt 2006).
Root cementum
Root cementum is a mineralized connective tissue coating the roots of teeth, usually extending from the cementoenamel junction to the root apex. Its primary function is to invest and attach the fibers of the periodontal ligament to the root surface (the acellular extrinsic fiber cementum, AEFC, and the cellular mixed stratified cementum, CMSC). However, root cementum also has other important functions, such as adjusting the tooth position to new physiologic requirements and repair of root defects (cellular intrinsic fiber cementum, CIFC) (Nanci and Bosshardt 2006).
Alveolar bone
The teeth are anchored in the alveolar bone, a part of the alveolar process that consists of an outer cortical plate, an inner cortical plate, and a central spongiosa. The alveolar process is continuous with the jawbone and can only develop in the presence of teeth. The inner cortical plate lines the alveolus and is also referred to as the alveolar bone.
In fully erupted and periodontally healthy teeth, the contour of the alveolar crest follows the contour of the cementoenamel junction in a coronoapical direction for approximately 2 mm (Saffar and coworkers 1997). The alveolar bone consists of compact bone characterized by the presence of osteons, the structural unit for cortical bone remodeling. The socket wall exhibits many perforations that connect the periodontal ligament with the endosteal or bone-marrow spaces, thus enabling blood and lymph vessels, and nerve fibers, to pass through these openings.
A characteristic component of the alveolar bone is the bundle bone, which is deposited in successive layers running parallel to the socket wall. Its typical appearance is determined by the Sharpey’s fibers penetrating its layers. The alveolar bone responds to the functional demands placed on it by the processes of resorption and deposition, known as bone remodeling.
Structure of peri-implant tissues in health
During the process of wound healing following the placement of dental implants, the features of the peri-implant mucosa are established (Sculean and coworkers 2014) (Figs 6 to 10).

Fig 6 Photomicrograph. Osseointegrated dental implant with direct bone-to-implant contact and supracrestal soft-tissue implant contact.

Fig 7 Higher magnification- Supracrestal peri-implant soft tissues consisting of oral and sulcular epithelium and connective tissue adhesion to the implant surface.

Fig 8 Higher magn...
Table of contents
- Cover
- Half Title
- Title Page
- Copyright Page
- The ITI Mission is …
- Preface
- Acknowledgments
- Editors and Authors
- Contributors
- Table of Contents
- 1 Introduction, M. Roccuzzo
- 2 Importance of the Peri-Implant Soft Tissues, A. Sculean
- 3 Soft-Tissue Management around Tissue-Level Implants, M. Roccuzzo
- 4 Soft-Tissue Grafting After Implant Placement, M. Roccuzzo, A. Sculean
- 5 Peri-Implant Soft-Tissue Dehiscences
- 6 Clinical Case Presentations
- 7 Conclusions, M. Roccuzzo
- 8 References
- Back Cover
Frequently asked questions
Yes, you can cancel anytime from the Subscription tab in your account settings on the Perlego website. Your subscription will stay active until the end of your current billing period. Learn how to cancel your subscription
No, books cannot be downloaded as external files, such as PDFs, for use outside of Perlego. However, you can download books within the Perlego app for offline reading on mobile or tablet. Learn how to download books offline
Perlego offers two plans: Essential and Complete
- Essential is ideal for learners and professionals who enjoy exploring a wide range of subjects. Access the Essential Library with 800,000+ trusted titles and best-sellers across business, personal growth, and the humanities. Includes unlimited reading time and Standard Read Aloud voice.
- Complete: Perfect for advanced learners and researchers needing full, unrestricted access. Unlock 1.4M+ books across hundreds of subjects, including academic and specialized titles. The Complete Plan also includes advanced features like Premium Read Aloud and Research Assistant.
We are an online textbook subscription service, where you can get access to an entire online library for less than the price of a single book per month. With over 1 million books across 990+ topics, we’ve got you covered! Learn about our mission
Look out for the read-aloud symbol on your next book to see if you can listen to it. The read-aloud tool reads text aloud for you, highlighting the text as it is being read. You can pause it, speed it up and slow it down. Learn more about Read Aloud
Yes! You can use the Perlego app on both iOS and Android devices to read anytime, anywhere — even offline. Perfect for commutes or when you’re on the go.
Please note we cannot support devices running on iOS 13 and Android 7 or earlier. Learn more about using the app
Please note we cannot support devices running on iOS 13 and Android 7 or earlier. Learn more about using the app
Yes, you can access Peri‑Implant Soft‑Tissue Integration and Management by Mario Roccuzzo,Anton Sculean, Nikolaos Donos,Stephen Barter,Daniel Wismeijer, Nikolaos Donos, Stephen Barter, Daniel Wismeijer in PDF and/or ePUB format, as well as other popular books in Medicine & Dentistry. We have over one million books available in our catalogue for you to explore.