This reference comprehensively covers the clinical aspects of head and neck neoplasms while also highlighting the relationship that exists between inflammation and these cancers. This relationship is critical as it dictates the risks, assessment, treatment, and prognosis of head and neck cancer patients. The book starts with an introduction to the inflammation ecosystem in head and neck malignancy, followed by detailed discussions on the types of head and neck cancers and their histological classification. The book then provides information about specialized topics relevant to the specialty of head and neck oncology. Key Features: - Comprehensive coverage of head and neck cancers with topic-based chapters - Introductory text explaining the basics of inflammation
- Detailed information on the relationship between inflammation and head and neck neoplasms
- Information about classification of head and neck cancers
- Methods for diagnosis and treatment
- Special topics such as complications caused by HPV infections, chemoradiation, immune-targeted therapy and inflammatory biomarkers
- References for further reading The combination of basic and advanced topics makes this book an informative reference for medical students and professionals at all levels. Residents specializing in otolaryngology, oncology, and surgery as well as researchers studying inflammation will also gain an understanding of the subject in relation to oncogenesis.

- English
- ePUB (mobile friendly)
- Available on iOS & Android
eBook - ePub
Head and Neck Cancer: Hallmarks of the Inflammation Ecosystem
About this book
Trusted by 375,005 students
Access to over 1.5 million titles for a fair monthly price.
Study more efficiently using our study tools.
Information
Histological Classification of Head and Neck Tumors
Sharifah Emilia Tuan Sharif1, Anani Aila Mat Zin1, *
1 Department of Pathology, School of Medical Science, Universiti Sains Malaysia, Health Campus 16150, Kubang Kerian, Kelantan, Malaysia
Abstract
Head and neck constituency tumor display many types of cell depending on the lineages, which can develop in a variety of tumor types. Nodaway, all these types and variants of tumor have been recognized based on histomorphological features and their molecular behavior. The most updated and receptive classification is provided by the World Health Organization (WHO) and the American Joint Committee on Cancer (AJCC). In the chapter, the discussion will include the common neoplasm, which can occur in oropharynx, nasopharynx, sinonasal region, salivary gland, thyroid gland and other adjacent structures. A brief overview, clinical presentation, histomorphology, genetic profile and outcome/prognosis will be highlighted.
Keywords: Genetic profiling, Head and neck tumor, Miscellaneous tumor, Molecular, Morphology, Predictive factor, Prognostic, Salivary gland tumor, Tumor with and without squamous differentiation, WHO and AJCC classification.
* Corresponding author Anani Aila Mat Zin: Department of Pathology, School of Medical Science, Universiti Sains Malaysia, Health Campus 16150, Kubang Kerian, Kelantan, Malaysia; Tel: +60199624272; E-mail: [email protected]
INTRODUCTION
The head and neck areas have numerous specialized tissues giving rise to many types of malignancies. There are a few types and subtypes of lesions that will be described according to their histomorphology and molecular profiles, especially salivary gland, sinonasal tract, and oropharynx. Nasopharyngeal carcinoma had undergone a few classification changes. But, the most accepted classifications are from the World Health Organization (WHO). The same goes for the former in which the evolved classifications had been recognized by the WHO and American Joint Committee on Cancer (AJCC).
In this chapter, we focus on the most recent developments in the head and neck cancer classification. We will discuss the clinical features, pathological features, ancillary studies, prognostic and therapeutic considerations for each entity. These
cancers are further categorized by their histomorphological differentiation and the location of the head or neck in which they arise. These categories are described below, including the miscellaneous one.
HISTOPATHOLOGICAL CLASSIFICATION OF TUMOUR
Here, we discussed the histopathological classification based on histological features or differentiation (Fig. 1).

Classification of head and neck tumor.
- Epithelial tumor with squamous differentiation.
- Epithelial tumor without squamous differentiation.
- Salivary gland tumors.
- Miscellaneous – neuroendocrine carcinoma, hematolymphoid tumor, soft tissue and bone tumor, paraganglion tumors, thyroid neoplasm, etc.
EPITHELIAL TUMOUR WITH SQUAMOUS DIFFERENTIATION
Head and neck squamous cell carcinoma (HNSCC) and its variants are the most common types, usually developed in males of older age group. It develops from the lining of mucosa of the upper aerodigestive tract and is classified by its location; oral cavity/tongue, oropharynx, nasal cavity, and paranasal sinuses, nasopharynx, larynx or hypopharynx. Nasopharyngeal carcinoma (NPC) and other rarer tumor, such as NUT carcinoma, will also be discussed under this histopathological type.
Grossly, the tumor exhibits infiltrative exophytic or endophytic growth pattern with tan to white cut surface. The tumor can show variable degrees of ulceration, necrosis, and hemorrhage [1]. There are a few variants of HNSCC that depend on microscopic features and their associated etiologies will be discussed.
Keratinising Squamous Cell Carcinoma (KSCC)
It is the most common variant of HNSCC, which is most often described in head and neck malignancy.
Clinical Features
The presenting features vary depending on their location. Usually, they presented with non-specific symptoms, which include nasal obstruction and discharge, epistaxis, facial pain, a nasal mass, ulcer, or even eye-related symptoms [2].
Morphology
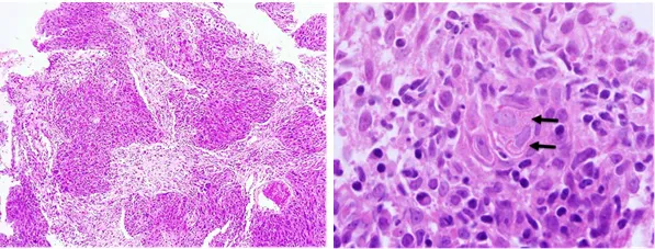
It is characterized by malignant squamous epithelial cell proliferation with evidence of keratinization and invasive growth pattern. Keratin pearl formation is common. Invasion into the stromal tissue is often accompanied by a desmoplastic changes, accompanied by chronic inflammatory cells (Fig. 2). In general, it is graded into well-, moderately-, and poorly differentiated. Well-differentiated SCC exhibits mild nuclear atypia with keratin pearls, whereas poorly differentiated SCC display highly pleomorphic and hyperchromatic cells, with numerous typical and atypical mitoses, minimal keratinization, and sometimes necrosis. In this case, the presence of intercellular bridges is an important diagnostic clue for squamous differentiation or origin. Most SCCs are moderately-differentiated, which exhibit features in between well-differentiated and poorly differentiated carcinoma. HNSCCs express most epithelial markers such as cytokeratin. However, in well-differentiated SCC, diagnosis can be made by H&E without additional stains. In poorly differentiated tumors, immunohistochemistry may play a role. HNSCCs are immunopositive for pan cytokeratin. CK5/CK6, p63 and p40 are excellent markers for squamous differentiation [3, 4].

Keratinizing squamous cell carcinoma (KSCC). Left (H&E 100X): Infiltrating tumours are seen arranged in large irregular sheets surrounded by desmoplastic stroma. Right (H&E 400X): The intercellular bridges (arrow) is present.
Non-keratinizing Squamous Cell Carcinoma (NKSCC)
SCC exhibited a distinctive ribbon-like growth pattern with minimal maturation. It accounts for about 10 to 27% of sinonasal SCC; the maxillary sinus and nasal cavity are the most frequently involv...
Table of contents
- Welcome
- Table of Content
- Title
- BENTHAM SCIENCE PUBLISHERS LTD.
- FOREWORD
- PREFACE
- List of Contributors
- Introduction to Inflammation Ecosystem in Head and Neck Cancer
- Types of Head and Neck Malignancy
- Histological Classification of Head and Neck Tumors
- Inflammation, Risk Factors and Etiopathogenesis of Head and Neck Cancer
- The Diagnostic Tools for Head and Neck Cancer
- The Emergence of New Inflammatory Markers of Head and Neck Cancer and their Potentials
- Inflammation and Current HPV Status in Head and Neck Malignancy
- Treatment of Head and Neck Cancer and Relation to Inflammation
- Behind the Screen: The Emergence of New Evidence
- Targeting Inflammation: Window for Therapeutic Strategy in Head and Neck Malignancy
Frequently asked questions
Yes, you can cancel anytime from the Subscription tab in your account settings on the Perlego website. Your subscription will stay active until the end of your current billing period. Learn how to cancel your subscription
No, books cannot be downloaded as external files, such as PDFs, for use outside of Perlego. However, you can download books within the Perlego app for offline reading on mobile or tablet. Learn how to download books offline
Perlego offers two plans: Essential and Complete
- Essential is ideal for learners and professionals who enjoy exploring a wide range of subjects. Access the Essential Library with 800,000+ trusted titles and best-sellers across business, personal growth, and the humanities. Includes unlimited reading time and Standard Read Aloud voice.
- Complete: Perfect for advanced learners and researchers needing full, unrestricted access. Unlock 1.5M+ books across hundreds of subjects, including academic and specialized titles. The Complete Plan also includes advanced features like Premium Read Aloud and Research Assistant.
We are an online textbook subscription service, where you can get access to an entire online library for less than the price of a single book per month. With over 1.5 million books across 990+ topics, we’ve got you covered! Learn about our mission
Look out for the read-aloud symbol on your next book to see if you can listen to it. The read-aloud tool reads text aloud for you, highlighting the text as it is being read. You can pause it, speed it up and slow it down. Learn more about Read Aloud
Yes! You can use the Perlego app on both iOS and Android devices to read anytime, anywhere — even offline. Perfect for commutes or when you’re on the go.
Please note we cannot support devices running on iOS 13 and Android 7 or earlier. Learn more about using the app
Please note we cannot support devices running on iOS 13 and Android 7 or earlier. Learn more about using the app
Yes, you can access Head and Neck Cancer: Hallmarks of the Inflammation Ecosystem by Norhafiza Mat Lazim in PDF and/or ePUB format, as well as other popular books in Medicine & Oncology. We have over 1.5 million books available in our catalogue for you to explore.