
eBook - ePub
Diagnosing Dental and Orofacial Pain
A Clinical Manual
- English
- ePUB (mobile friendly)
- Available on iOS & Android
eBook - ePub
Diagnosing Dental and Orofacial Pain
A Clinical Manual
About this book
Diagnosing Dental and Orofacial Pain: A Clinical Manual approaches a complex topic in a uniquely practical way. This text offers valuable advice on ways to observe and communicate effectively with patients in pain, how to analyze a patients' pain descriptions, and how to provide a proper diagnosis of orofacial pain problems that can arise from a myriad of sourcesāanywhere from teeth, joint and muscle pain, and paranasal sinuses to cluster headaches, neuralgias, neuropathic pain and viral infections.
- Helps the student and practitioner understand the diagnostic process by addressing the exact questions that need to be asked and then analyzing verbal and non-verbal responses to these
- Edited by experts with decades of clinical and teaching experience, and with contributions from international specialists
- Companion website provides additional learning materials including videos, case studies and further practical tips for examination and diagnosis
- Includes numerous color photographs and illustrations throughout to enhance text clarity
Frequently asked questions
Yes, you can cancel anytime from the Subscription tab in your account settings on the Perlego website. Your subscription will stay active until the end of your current billing period. Learn how to cancel your subscription.
No, books cannot be downloaded as external files, such as PDFs, for use outside of Perlego. However, you can download books within the Perlego app for offline reading on mobile or tablet. Learn more here.
Perlego offers two plans: Essential and Complete
- Essential is ideal for learners and professionals who enjoy exploring a wide range of subjects. Access the Essential Library with 800,000+ trusted titles and best-sellers across business, personal growth, and the humanities. Includes unlimited reading time and Standard Read Aloud voice.
- Complete: Perfect for advanced learners and researchers needing full, unrestricted access. Unlock 1.4M+ books across hundreds of subjects, including academic and specialized titles. The Complete Plan also includes advanced features like Premium Read Aloud and Research Assistant.
We are an online textbook subscription service, where you can get access to an entire online library for less than the price of a single book per month. With over 1 million books across 1000+ topics, weāve got you covered! Learn more here.
Look out for the read-aloud symbol on your next book to see if you can listen to it. The read-aloud tool reads text aloud for you, highlighting the text as it is being read. You can pause it, speed it up and slow it down. Learn more here.
Yes! You can use the Perlego app on both iOS or Android devices to read anytime, anywhere ā even offline. Perfect for commutes or when youāre on the go.
Please note we cannot support devices running on iOS 13 and Android 7 or earlier. Learn more about using the app.
Please note we cannot support devices running on iOS 13 and Android 7 or earlier. Learn more about using the app.
Yes, you can access Diagnosing Dental and Orofacial Pain by Alex J. Moule, M. Lamar Hicks, Alex J. Moule,M. Lamar Hicks in PDF and/or ePUB format, as well as other popular books in Medicine & Dentistry. We have over one million books available in our catalogue for you to explore.
Information
Chapter 1
Introduction
Alex J. Moule and M. Lamar Hicks
Introduction
Clinicians are called upon to diagnose orofacial pain on a daily basis. For the most part, diagnosis is a routine procedure which is accomplished without too much difficulty. Most painful conditions follow certain predictable patterns and exhibit specific signs and symptoms which, when observed, make diagnosis a relatively easy task to perform. Patients do present, however, where diagnosis is especially difficult and where pain patterns do not follow recognized norms. Many of these difficult cases can have unsatisfactory outcomes for both patients and practitioners.
There are numerous textbooks that deal with pain diagnosis. Most of these provide a comprehensive review of the signs, symptoms and pathology associated with the various conditions that can cause facial pain. Few deal with the actual process of diagnosing orofacial pain, and even fewer deal in any detail with the specific questions and tests that are required to establish a diagnosis for each condition.
This manual addresses some of the difficulties in assessing patients with orofacial pain by focusing on the questions that need to be asked and analyzing responses of patients to these questions. This is in contrast to just describing the various painful conditions. Particular attention is paid to the meaning of descriptors patients use when describing pain.
From a practical point of view, the initial task for a practitioner in assessing a patient with orofacial pain is a reasonably simple process: to establish whether the patient has a dental pain problem, a treatable non-dental pain problem, or a pain problem that requires referral to a dental or medical specialist. Once this broad sorting is carried out, more specific diagnosis and treatment planning can take place for each condition. To place the patient into one of these categories is often relatively uncomplicated. Nevertheless, mistakes often occur because practitioners jump to conclusions before assessing all of the facts, and because insufficient information is gathered before a diagnosis is made. Thus, when diagnosing pain, history is more important than testing. Indeed, it is the history that dictates the tests to perform. History is obtained by asking appropriate questions. Diagnosis is based on:
- Observing the patient (āWhat should I look for?ā)
- Knowing the questions to ask (āWhat should I ask?ā)
- Analyzing the answers received (āWhat does this answer mean?ā āWhat else do I need to know?ā)
- Performing appropriate tests
- Applying all this information to the task of identifying the problem.
When diagnosing pain, there are two broad categories of questions that the clinician must be able to use. The first category is a series of general sorting or screening questions that elicit a broad picture of the pain profile. These form the basis for asking the second category of questions, which are specific screening questions used for a particular pain state (e.g. dental pain, muscle pain, trigeminal neuralgia, cluster headache). Unless a practitioner is aware of the specific questions that relate to the different pain states, an accurate diagnosis of challenging pain cases is difficult or impossible to make.
Mistakes in diagnosis are often made when clinicians approach the diagnosis too quickly without first analyzing the patientās responses to questions, and when attempts are made to make the facts fit a diagnosis rather than make the diagnosis fit the facts.
When confronted with any diagnostic situation it is helpful to remember a āgolden ruleā:
If it doesnāt add up, it doesnāt add up.
When confronted with any diagnostic situation that does not add up, it is helpful to remember a second āgolden ruleā:
If it doesnāt add up, then review it again or refer.
Similarly, if confronted with any diagnostic situation that does not add up and does not respond to initial treatment, it is helpful to remember a third important rule:
Do not āwalkā along teeth.
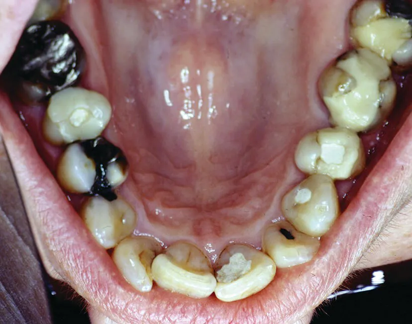
When confronted with a patient with a complex pain problem, great care should be taken not to keep trying to find a dental cause by treating one tooth after another in an attempt to relieve pain that may or may not be dental in origin. Before treatment is initiated, an accurate diagnosis must be established (Fig. 1-1).

Fig. 1-1
A patient with non-dental pain who had multiple restorations and endodontic procedures in an unsuccessful attempt to relieve orofacial pain.
In the following chapters, the causes of orofacial pain will be identified and explained and the diagnostic processes that are necessary to arrive at an accurate diagnosis will be discussed. Particular attention is placed on:
- How to record a pain profile
- How to listen to and observe a patient in pain
- How to analyze responses to questions
- How to formulate questions.
Specific screening questions are described for each pain condition. Short and long case reports are presented in the accompanying e-web material.
Chapter 2
The Art of Listening ā Communicating Effectively with a Patient in Pain
Andrew D. Wolvin
Introduction
Good health care is a partnership between the patient and the clinician ā and with the rest of a clinical team. The center of this partnership is effective communication. Research reinforces that ācommunication between clinicians and patients has been recognized as an integral part of providing optimum patient care.ā1 This clinicianāpatient partnership should be built on a relationship of trust. It requires that the clinician be comforting, caring and encouraging, asking and answering questions, offering clear explanations, and listening and checking understanding.2 Most patients who have orofacial pain seek advice first from a dentist. It is especially important with these patients to establish trust and develop good dentistāpatient communication, which has been described as one that is purposeful: creating a good interpersonal relationship, exchanging information and deciding on the best course of treatment.3 Not surprisingly, most of the focus in studies of dentistāpatient communication has centered on dentists, with little atten...
Table of contents
- Cover
- Title Page
- Table of Contents
- Contributors
- Acknowledgments
- About the Companion Website
- Chapter 1: Introduction
- Chapter 2: The Art of Listening ā Communicating Effectively with a Patient in Pain
- Chapter 3: Causes of Pain in the Orofacial Region
- Chapter 4: Gathering Information for an Accurate Pain Diagnosis
- Chapter 5: Analyzing Patients in Pain ā Describing Pain and the Importance of Descriptors
- Chapter 6: Analyzing Patients in Pain ā Observing Patients in Pain
- Chapter 7: Analyzing Patients in Pain ā Associations with Cold and Heat
- Chapter 8: Analyzing Pain Descriptions ā Pain on Biting or Eating and Other Considerations
- Chapter 9: Analyzing Pain Descriptions ā Time Analysis and the Diagnosis of Orofacial Pain
- Chapter 10: Analyzing Pain Descriptions ā Factors Influencing the Pain
- Chapter 11: Tests and Testing
- Chapter 12: Diagnosing Dental Pain
- Chapter 13: Diagnosing Cracked (Crown Fractured) Teeth
- Chapter 14: Diagnosing Joint and Muscle Pains
- Chapter 15: Diagnosing Pain Referral from Neck and Shoulders
- Chapter 16: Diagnosing Pain from the Sinuses
- Chapter 17: Diagnosing Tension Headaches and Migraine
- Chapter 18: Diagnosing Cluster Headaches
- Chapter 19: Diagnosing Trigeminal Neuralgia
- Chapter 20: Viruses as a Cause of Orofacial Pain
- Chapter 21: Vascular Causes of Headaches
- Chapter 22: Diagnosing Neuropathic Orofacial Pain
- Chapter 23: Referral Strategies for Orofacial Pain Cases
- References
- Index
- End User License Agreement