
Pancreatic Cancer, Cystic Neoplasms and Endocrine Tumors
Diagnosis and Management
- English
- ePUB (mobile friendly)
- Available on iOS & Android
Pancreatic Cancer, Cystic Neoplasms and Endocrine Tumors
Diagnosis and Management
About this book
Pancreatic Cancer, Cystic Neoplasms and Endocrine Tumors: Diagnosis and Management is a modern, expertly crafted and clinically focused guide to the diagnosis, management and best-practice care of patients suffering from pancreatic cancer, cystic neoplasms and endocrine tumours.
Packed with outstanding figures and with reference to the leading society guidelines, its main focus is on the many endoscopic and radiologic diagnostic techniques, medical and surgical management of both full-blown cancer and other tumors, and the risks of each form of treatment.Ā Also covered in detail are issues of tumor recurrence and long-term outcome of treatment.
Brought to you by highly skilled national and international leaders in the specialty and an experienced editor team, this is an invaluable guide to practicing gastroenterologists and surgeons in the hospital and clinical environment, as well as oncologists and endocrinologists managing patients with pancreatic tumorous lesions.
Frequently asked questions
- Essential is ideal for learners and professionals who enjoy exploring a wide range of subjects. Access the Essential Library with 800,000+ trusted titles and best-sellers across business, personal growth, and the humanities. Includes unlimited reading time and Standard Read Aloud voice.
- Complete: Perfect for advanced learners and researchers needing full, unrestricted access. Unlock 1.4M+ books across hundreds of subjects, including academic and specialized titles. The Complete Plan also includes advanced features like Premium Read Aloud and Research Assistant.
Please note we cannot support devices running on iOS 13 and Android 7 or earlier. Learn more about using the app.
Information
PART I
Ductal Adenocarcinoma of the Pancreas
CHAPTER 1
Histologic Classification and Tumor Staging of Pancreatic Cancer
Histologic Classification of Pancreatic Ductal Neoplasms

| Number of patients | (%) | |
|---|---|---|
| 1 Atypical epithelium (AE) and carcinoma in situ (CIS) | 14 | (0.3) |
| 2 Invasive ductal carcinomas (IDCs) | ||
| a Papillary adenocarcinoma (pap) | 78 | (1.4) |
| b Tubular adenocarcinoma (tub) | 4564 | (83.79) |
| i Well-differentiated type (tub1) | ||
| ii Moderately differentiated type (tub2) | ||
| c Poorly differentiated adenocarcinoma (por) | 612 | (11.2) |
| d Adenosquamous carcinoma (asc) | 99 | (1.8) |
| e Mucinous carcinoma (muc) | 49 | (1.0) |
| f Anaplastic carcinoma | 37 | (0.7) |
| i Giant cell type | ||
| ii Osteoclast-like giant cell type or giant cell carcinoma of osteoclastoid type | ||
| iii Pleomorphic type | ||
| iv Spindle-cell type | ||
| Total | 5453 | (100%) |
| Premalignant lesions |
| Pancreatic intraepithelial neoplasia, grade 3 (PanIN-3) |
| Malignant lesions |
| Ductal adenocarcinoma |
| Well-differentiated carcinoma |
| Moderately differentiated carcinoma |
| Poorly differentiated adenocarcinoma |
| Adenosquamous carcinoma |
| Colloid carcinoma (mucinous noncystic carcinoma) |
| Hepatoid carcinoma |
| Medullary carcinoma |
| Signet-ring cell carcinoma |
| Undifferentiated carcinoma |
| Undifferentiated carcinoma with osteoclast-like giant cells |
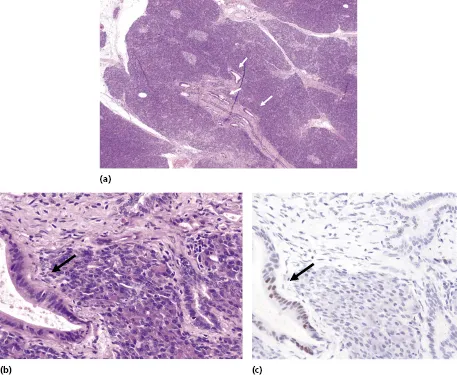
Atypical Epithelium and Carcinoma in situ


Invasive Ductal Carcinomas
Table of contents
- Cover
- Table of Contents
- Title page
- Copyright page
- Contributors
- Preface
- Abbreviations
- PART I: Ductal Adenocarcinoma of the Pancreas
- PART II: Periampullary Cancers
- PART III: Cystic Neoplastic Lesions of the Pancreas
- PART IV: Endocrine Neoplasms of the Pancreas
- PART V: Chronic Pancreatitis with Inflammatory Tumor of the Pancreas
- Index
- End User License Agreement