1 Parasiten

eBook - ePub
Wildkrankheiten
- 208 Seiten
- German
- ePUB (handyfreundlich)
- Über iOS und Android verfügbar
eBook - ePub
Über dieses Buch
A Colour Compendium of Game Animal Diseases
This colour compendium makes it easy to identify the diseases that afflict game animals, together with their causes, symptoms and long-term consequences. All the important diseases and clinical pictures are described and illustrated here:
Diseases caused by pests, bacteria or viruses
Tumour diseases
Anomalies
Deformities
Poisonings
Nutrition-based diseases
Metabolic diseases
Injuries
In addition, "warning signs" are described.
A must for all trainee hunters, game biologists, and trainee and practising veterinarians.
375,005 Studierende vertrauen auf uns
Zugang zu über 1 Million Titeln zu einem fairen monatlichen Preis.
Mit unseren Lerntools kannst du noch effizienter lernen.
Information
Thema
Biological SciencesThema
Zoology1.1 Endoparasiten (Innenparasiten)
1.1.1 Protozoen (Einzeller)
1.1.1.1 Kokzidiose
Wesen der Erkrankung: Kokzidien sind kleine kugelförmige oder ellipsoide Einzeller, die in den Epithelzellen (Deckzellen) der Darmschleimhaut, der Gallengänge in der Leber sowie in den Harnkanälchen der Nieren parasitieren. Kokzidien sind im Allgemeinen sehr wirtsspezifisch, so dass jede Wildart ihre artspezifischen Kokzidien in sich trägt, die auch nicht auf andere Wildarten oder Haussäugetiere übertragen werden können.
Erreger: Kokzidien, in erster Linie Vertreter der Familien Eimeria und Isospora.
Vorkommen: Bei Schalenwild, allen Marderartigen, Fuchs, Hase und Wildkaninchen sowie Federwild.
Übertragung: Die mit der Losung infizierter Tiere ausgeschiedenen Dauerformen (Oozysten) des Parasiten werden mit kontaminierter Äsung oder über die Tränke aufgenommen.
Krankhafte Veränderungen:
Am lebenden Tier: Schleimiger und z.T. blutiger Durchfall, bei bereits chronischem Krankheitsgeschehen Abmagerung und struppiges Haarkleid, vermindertes Fluchtverhalten, zunehmende Entkräftung, die insbesondere bei Jungtieren mit tödlichem Ausgang verbunden ist.
Am toten Tier: Besonders auffällig sind die in der Dünndarmwand von Hasenartigen massenhaft vorkommenden grauweißen und etwa hirsekorngroßen Herde.

Abb. 1. Zahlreiche, grauweiße, hirsekorngroße Herde in der Dünndarmwand eines Hasen mit Kokzidiose. Rechts daneben eine Gallengangskokzidiose in der Leber eines Wildkaninchens.
Des Weiteren ist dünnflüssiger oder auch schleimiger bis blutiger Darminhalt nachweisbar. Der Erregernachweis erfolgt mittels einer mikroskopischen Kotuntersuchung.
Bei der Gallengangskokzidiose der Kaninchen ist die Leber in unterschiedlicher Ausprägung von gelblichen, über die Leberoberfläche gewölbten Herden durchsetzt.
Beurteilung: Unschädliche Beseitigung des Tierkörpers und der Organe, da eine Fleischuntersuchung bei Kleinwild unwirtschaftlich ist.
Bekämpfung: In der Wildbahn nicht Erfolg versprechend. Wichtiger ist eine Besatzregulierung und vor allem der Abschuss sichtbar erkrankter Tiere.
1.1.1.2 Toxoplasmose
Wesen der Erkrankung: Ursache ist ein weltweit bei Warmblütern nachgewiesener einzelliger Parasit, der außer auf Tiere auch vom Tier auf den Menschen übertragen werden kann.
Erreger: Toxoplasma gondii
Vorkommen: Als einziger für die Übertragung auf den Menschen relevanter Endwirt ist die Katze anzusehen. Als Zwischenwirte, in denen Entwicklungsstadien des Parasiten gebildet werden können, sind kleine und große Hauswiederkäuer, Schweine, Nager, Fuchs, Hasenartige, Schalenwild außer Rotwild sowie Federwild bekannt.
Übertragung: Die Ansteckung erfolgt wahrscheinlich oral über den Verzehr infizierter Beutetiere oder durch zufällige Aufnahme der mit Katzenkot ausgeschiedenen Dauerformen (Oozysten).
Krankhafte Veränderungen:
Am lebenden Tier: Zentralnervöse Symptome wie Verlust der Scheu, Aggressivität, Bewegungsstörungen oder auch Zutraulichkeit.
Am toten Tier: In erster Linie entzündliche Lungenveränderungen mit – seltener ausgebildeten – unterschiedlich großen, erhabenen oder eingesunkenen, graurosafarbenen Herden.

Abb. 2. Graurosafarbene, leicht erhabene Herde (Pfeile) auf der Lunge eines Fuchses mit Toxoplasmose.
Der diagnostische Nachweis erfolgt mittels feingeweblicher Untersuchung zur Darstellung der Toxoplasmazysten.

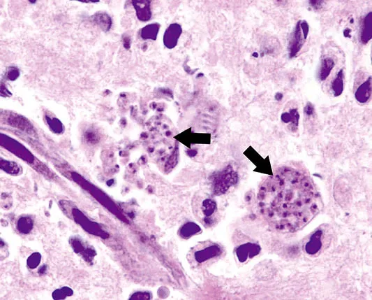
Abb. 3. Toxoplasmazysten (Pfeile) im Gehirn eines Steinmarders (400x).
Bekämpfung: In der freien Wildbahn nicht möglich und aufgrund der geringen Bedeutung für Wild nicht erforderlich (Ausnahme Farmhaltungen).
1.1.1.3 Sarkosporidiose
Wesen der Erkrankung: Dieser Parasit wird zu den zystenbildenden Kokzidien gezählt und benötigt für seinen Entwicklungszyklus grundsätzlich einen Zwischenwirt (z.B. Schalen- oder Federwild) und einen Endwirt (z.B. Fuchs oder Hund). Die Sarkosporidien gelangen im Verlauf ihrer Entwicklung auf dem Blutweg in die Muskulatur, wo sie kammerartige Zysten bilden (sog. Mieschersche Schläuche). Bei hochgradigem Befall können krankhafte Veränderungen an Organen sowie Aborte oder Absterben der Frucht eintreten.
Erreger: Sarkosporidien
Vorkommen: Bei nahezu allen Säugetieren, Vögeln, Reptilien und dem Menschen nachgewiesen. Bei Wild werden Sarkosporidien hauptsächlich bei Schalenwild, selten bei Federwild nachgewiesen.
Übertragung: Nach oraler Aufnahme reifer Zysten durch den Endwirt (Fuchs, Hund) vollzieht sich in dessen Dünndarm die weitere Entwicklung bis zu den infektionstüchtigen Dauerstadien, die mit der Losung ausgeschieden werden. Diese sind in der Umwelt monatelang überlebensfähig, bis sie von Zwischenwirten (z.B. Schalenwild) aufgenommen werden, wodurch der Entwicklungs...
Inhaltsverzeichnis
- Haupttitel
- Vorwort
- 1 Parasiten
- 2 Bakterien
- 3 Viren
- 4 Pilze
- 5 Tumorerkrankungen
- 6 Anomalien und Missbildungen
- 7 Vergiftungen
- 8 Ernährungsschäden und Stoffwechselkrankheiten
- 9 Verletzungen
- 10 Merkmale, die eine amtliche Fleischuntersuchung erfordern*
- Service
- Impressum
Häufig gestellte Fragen
Ja, du kannst dein Abo jederzeit über den Tab Abo in deinen Kontoeinstellungen auf der Perlego-Website kündigen. Dein Abo bleibt bis zum Ende deines aktuellen Abrechnungszeitraums aktiv. Erfahre, wie du dein Abo kündigen kannst
Nein, Bücher können nicht als externe Dateien, z. B. PDFs, zur Verwendung außerhalb von Perlego heruntergeladen werden. Du kannst jedoch Bücher in der Perlego-App herunterladen, um sie offline auf deinem Smartphone oder Tablet zu lesen. Erfahre, wie du Bücher herunterladen kannst, um sie offline zu lesen
Perlego bietet zwei Abopläne an: Elementar und Erweitert
- Elementar ist ideal für Lernende und Profis, die sich mit einer Vielzahl von Themen beschäftigen möchten. Erhalte Zugang zur Basic-Bibliothek mit über 800.000 vertrauenswürdigen Titeln und Bestsellern in den Bereichen Wirtschaft, persönliche Weiterentwicklung und Geisteswissenschaften. Enthält unbegrenzte Lesezeit und die Standardstimme für die Funktion „Vorlesen“.
- Pro: Perfekt für fortgeschrittene Lernende und Forscher, die einen vollständigen, uneingeschränkten Zugang benötigen. Schalte über 1,4 Millionen Bücher zu Hunderten von Themen frei, darunter akademische und hochspezialisierte Titel. Das Pro-Abo umfasst auch erweiterte Funktionen wie Premium-Vorlesen und den Recherche-Assistenten.
Wir sind ein Online-Lehrbuch-Abo, bei dem du für weniger als den Preis eines einzelnen Buches pro Monat Zugang zu einer ganzen Online-Bibliothek erhältst. Mit über 1 Million Büchern zu über 990 verschiedenen Themen haben wir bestimmt alles, was du brauchst! Erfahre mehr über unsere Mission
Achte auf das Symbol zum Vorlesen bei deinem nächsten Buch, um zu sehen, ob du es dir auch anhören kannst. Bei diesem Tool wird dir Text laut vorgelesen, wobei der Text beim Vorlesen auch grafisch hervorgehoben wird. Du kannst das Vorlesen jederzeit anhalten, beschleunigen und verlangsamen. Erfahre mehr über die Funktion „Vorlesen“
Ja! Du kannst die Perlego-App sowohl auf iOS- als auch auf Android-Geräten nutzen, damit du jederzeit und überall lesen kannst – sogar offline. Perfekt für den Weg zur Arbeit oder wenn du unterwegs bist.
Bitte beachte, dass wir Geräte, auf denen die Betriebssysteme iOS 13 und Android 7 oder noch ältere Versionen ausgeführt werden, nicht unterstützen können. Mehr über die Verwendung der App erfahren
Bitte beachte, dass wir Geräte, auf denen die Betriebssysteme iOS 13 und Android 7 oder noch ältere Versionen ausgeführt werden, nicht unterstützen können. Mehr über die Verwendung der App erfahren
Ja, du hast Zugang zu Wildkrankheiten von Michael Freiherr v. Keyserlingk-Eberius,Dr. Michael Freiherr v Keyserlingk-Eberius im PDF- und/oder ePub-Format sowie zu anderen beliebten Büchern aus Biological Sciences & Zoology. Aus unserem Katalog stehen dir über 1 Million Bücher zur Verfügung.