Les lobbies et les militants de l'environnement se livrent une guerre intense. La santé
des générations futures est en jeu. Dans cette incroyable enquête de douze mois,
l'équipe de l'émission Cash Investigation révèle l'étendue des dommages causés
par l'industrie phytosanitaire. Les fruits et légumes, le vin, et même l'eau, sont contaminés par les pesticides et les perturbateurs endocriniens, malgré les rapports alarmants des autorités sanitaires.
Les conséquences sont terribles: leucémie, autisme, malformations, hypofertilité,
terrain cancérigène. L'industrie agroalimentaire et le secteur de la chimie multiplient les substances et les pratiques dangereuses. Ils font passer des lois à leur avantage, au mépris de la santé des enfants.
Un document au plus près de l'enquête Cash Investigation sur l'un des plus grands scandales écologiques et sanitaires de notre époque.
Ce livre propose aussi des solutions concrètes. La France est le premier consommateur de pesticides en Europe, et le troisième dans le monde. Et si on changeait tout?

- 105 pages
- French
- ePUB (adaptée aux mobiles)
- Disponible sur iOS et Android
eBook - ePub
Toxic Kids
À propos de ce livre
Approuvé par les 375,005 étudiants
Accès à plus d'un million de titres pour un prix mensuel raisonnable.
Étudiez plus efficacement en utilisant nos outils d'étude.
Informations
LES RAVAGES DE L’ATRAZINE
Persistant pesticide
Les pesticides au milieu des vignes dans le Bordelais sont un véritable poison. Mais il y a pire encore ; ces pesticides ne disparaissent pas dans l’air par enchantement, une fois diffusés dans les champs et les parcelles.
Certains sont ultra-persistants.
C’est le cas de l’atrazine, une substance découverte dans les années 1950 par une entreprise du nom de Geigy, massivement utilisée après la Seconde Guerre mondiale pour désherber les champs et contribuer à l’industrialisation de l’agriculture.
Depuis cinquante ans, l’atrazine est l’un des produits phytosanitaires les plus vendus en France. Plus de 5 000 tonnes d’atrazine étaient pulvérisées chaque année dans les champs français.
Cette molécule a fortement intrigué les équipes de Cash Investigation.
Globalement, en France, la qualité de l’eau est bonne. Un point noir subsiste. « L’atrazine et ses métabolites1 sont les principales molécules à l’origine des dépassements de la limite de qualité », dixit le ministère de la Santé.
Selon le bilan du ministère des Affaires sociales et de la Santé, 70 % des contaminations aux pesticides des sources d’eau potable sont dues en France à l’atrazine, alors que la substance a été interdite en 2001, avec un délai d’écoulement jusqu’en octobre 2003.

Ce document du ministère de la Santé2 n’est pas très rassurant, car l’atrazine a, en se dégradant, une deuxième vie (atrazine-déséthyl) et même une troisième vie (atrazine-déisopropyl). Il est donc extrêmement difficile de s’en débarrasser.
L’atrazine, c’est quoi ?
Si l’on osait une comparaison, l’atrazine, qui n’existe pas à l’état naturel, c’est un peu l’uranium des pesticides.
Une substance ultra-persistante.
Plus de douze ans après son interdiction sur le territoire français, l’atrazine est encore présente dans les nappes phréatiques à des doses élevées, non réglementaires. Au-delà d’une teneur de 0,1 mg par litre en atrazine et en nitrate (les deux vont en général de pair), l’eau est déconseillée aux femmes enceintes, aux nourrissons et aux personnes sensibles.
Méconnue du grand public, l’atrazine servait à détruire les mauvaises herbes dans les cultures, les espaces publics, les allées (pour les jardiniers amateurs) les ballasts sur les voies de chemin de fer (par la SNCF) et même dans les étangs ornementaux et les aquariums. Une sorte de molécule bonne à tout faire.
Chimiquement, l’atrazine est un herbicide de synthèse de la famille chimique des triazines, qui agit en bloquant la photosynthèse des végétaux3. Elle inhibe une protéine spécifique responsable de la photosynthèse, le mécanisme chimique qui permet à la plante de vivre et de prospérer. Un peu comme si la molécule bloquait le cerveau humain. C’est la mort assurée rapidement.
Dans le monde, les plus gros consommateurs d’atrazine sont les producteurs de maïs. Cette plante a besoin d’être désherbée à la fois au moment où elle sort de terre, mais aussi pendant les 90 jours de pousse. L’atrazine est l’arme chimique de destruction massive des mauvaises herbes. En France, 3 millions d’hectares, (environ 340 fois la surface de Paris) étaient désherbés avec ce produit, simple à épandre, efficace et bon marché.

Redoutable contre les herbes qui envahissent les cultures, l’atrazine est un puissant toxique. Avant son interdiction en Europe, ce produit affichait un beau palmarès toxicologique. Il était ainsi classé R48/22, c’est-à-dire « nocif avec des risques d’effets graves pour la santé en cas d’exposition prolongée par ingestion ».
Les autorités l’avaient aussi estampillé R50/53, ce qui signifie « très toxique pour les organismes aquatiques, peut entraîner des effets néfastes à long terme pour l’environnement aquatique ». Plus trois autres classifications tout aussi charmantes :

L’atrazine et l’enfant : des études inquiétantes
L’étude PELAGIE, menée en Bretagne auprès de femmes enceintes, ne plaide pas en faveur de l’atrazine. Le sigle PELAGIE correspond à Perturbateurs endocriniens : étude longitudinale sur les anomalies de la grossesse, l’infertilité et l’enfance4.
Environ 3 500 mères (et enfants) ont été suivies pour savoir si des composés toxiques étaient présents dans leur organisme. Les résultats sont sans appel.
Tout d’abord, les chercheurs de l’Inserm de Rennes ont trouvé des traces, dans les urines de 600 femmes enceintes, d’herbicides de la famille des triazines (atrazine et simazine) et d’insecticides organophosphorés. « Les résultats mettent en évidence de rares traces d’exposition à l’atrazine et à la simazine et, plus fréquemment, la présence de leurs formes dégradées dans les urines », précise PELAGIE.
Des traces d’atrazine et d’insecticides organophosphorés, d’accord, mais est-ce suffisant pour s’alarmer ? Selon ses propres conclusions, l’enquête PELAGIE « a permis de suggérer un impact néfaste d’une exposition pendant la grossesse à l’atrazine sur la croissance intra-utérine, et ceci à des niveaux faibles de contamination environnementale, ce résultat étant potentiellement préoccupant pour les populations des pays dans lesquels l’utilisation de l’atrazine est encore autorisée. »
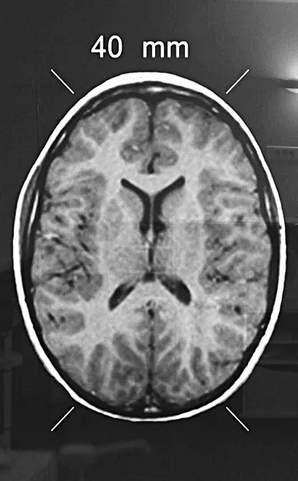
L’Inserm parle donc bien d’« impact néfaste » de l’atrazine, pendant la « croissance intra-utérine », ce qui signifie que le fœtus, durant la grossesse, ne se développe pas normalement lorsqu’il est exposé à cette substance. Les femmes enceintes avec un taux d'atrazine élevé dans leurs urines ont 70 % de risques supplémentaires d'avoir un bébé au périmètre crânien réduit. Jusqu'à 40 mm de circonférence en moins.
L’atrazine a pour effet d’agir sur la taille du périmètre des crânes, et, par conséquent, sur la taille du cerveau des nourrissons.

Des cerveaux plus petits
Dans 70 % des cas, l’exposition à l’atrazine provoque une diminution de la taille du crâne des bébés : jusqu’à 40 millimètres de circonférence crânienne en moins.
L’autre élément étonnant de l’étude PELAGIE, c’est l’idée qu’il suffit d’une faible dose pour perturber la croissance du fœtus.
Le grand public, le monde scientifique et les toxicologues demeurent encore largement persuadés que la dose fait le poison, comme l’avait énoncé le médecin et alchimiste suisse Paracelse (1493-1541).
Or, avec les perturbateurs endocriniens et hormonaux (des substances qui viennent modifier et altérer le système endocrinien et hormonal), les faibles doses sont nocives. Il se trouve même que les perturbateurs hormonaux ont des effets plus dévastateurs à faibles doses qu’à hautes doses.
Pour bien comprendre l’impact de l’atrazine, un voyage en Californie s’impose. Oh, pas pour se la couler douce sur les plages du Pacifique, mais pour y rencontrer un personnage singulier, un spécialiste des grenouilles.
Tyrone Hayes, le dandy des grenouilles
En guerre depuis des années contre Syngenta, le fabricant de l’atrazine, Tyrone Hayes est devenu la bête noire de l’industrie chimique et la star des anti-pesticides.
Après un long périple, l’équipe de Cash Investigation a rendez-vous, en juin 2015, avec ce biologiste qui dirige un laboratoire de la célèbre université publique de Berkeley, dans le département de biologie intégrative.
Si le désordre de son bureau cadre assez bien avec l’idée que l’on se fait d’un chercheur dans une institution publique, le look étudié de ce biologiste détonne dans le monde terne de la recherche.
Costume chocolat, chemise et cravate sombres, pas très grand, il a des airs de Barry White avec ses cheveux ondulés, sa queue-de-cheval, une petite tresse sur le côté et des boucles d’oreilles. En plateau sur une chaîne de télé ou en interview avec l’équipe de Cash Investigation, il porte en permanence une étole chamarrée sur les épaules.
Dans le bureau de Tyrone Hayes, il y a aussi des bibelots, des affiches ou des slogans, le genre de décoration de bureau qui en dit souvent long sur l’identité d’un lieu et de ses occupants. Une affiche pour une soirée de débat sur le thème de l’atrazine et des pesticides retient l’attention. On peut y lire le nom des intervenants et un joli dessin académique d’une grenouille. En s’approchant, le visiteur attentif note, toutefois, que la grenouille a trois pattes arrière…
Des amphibiens par centaines
Les grenouilles, c’est la spécialité de Tyrone Hayes.
Son laboratoire en élève plusieurs centaines dans des aquariums. Une pièce entière renferme des tubes transparents dans lesquels sont stockés des spécimens d’amphibiens hermaphrodites ; autant de preuves de ses recherches.
Tyrone Hayes fait pénétrer Martin et Pedro dans une pièce rectangulaire pour montrer la réalité de ses travaux. Sur des étagères, des grenouilles barbotent ou flottent les pattes allongées dans des dizaines d’aquariums. « C’est là que nous gardons les grenouilles adultes vivantes sur lesquelles nous avons fait des expériences. On utilise des grenouilles africaines, l’espèce la plus commune, mais on a différentes sources de grenouilles. On s’est aperçus que certaines espèces de grenouilles sont plus vulnérables à des maladies que d’autres. »
Puis, Tyrone Hayes explique son travail. « J’ai commencé à travailler sur l’atrazine vers 1996-1997 environ. Mes recherches visaient à comprendre comment l’atrazine et les autres produits chimiques influencent les organismes et comment cela se produit. Et par corollaire, comment les humains sont affectés par les produits chimiques. »
Issu d’un milieu modeste, élevé à Columbia en Caroline du Sud et ancien étudiant d’Harvard, Tyrone Hayes souhaitait juste œuvrer pour la scie...
Table des matières
- Couverture
- Présentation
- Copyright
- PRÉFACE
- LE POISON DES VIGNES
- LES RAVAGES DE L’ATRAZINE
- AUTISME : LES MAUX CHIMIQUES
- L’ENFER AU PARADIS
- QUE FAIRE ? DES SOLUTIONS
- Remerciements
- Achevé de numériser
Foire aux questions
Oui, vous pouvez résilier à tout moment à partir de l'onglet Abonnement dans les paramètres de votre compte sur le site Web de Perlego. Votre abonnement restera actif jusqu'à la fin de votre période de facturation actuelle. Découvrir comment résilier votre abonnement
Non, les livres ne peuvent pas être téléchargés sous forme de fichiers externes, tels que des PDF, pour être utilisés en dehors de Perlego. Cependant, vous pouvez télécharger des livres dans l'application Perlego pour les lire hors ligne sur votre téléphone portable ou votre tablette. Apprendre à télécharger des livres hors ligne
Perlego propose deux abonnements : Essentiel et Complet
- Essentiel est idéal pour les étudiants et les professionnels qui aiment explorer un large éventail de sujets. Accédez à la bibliothèque Essentiel comprenant plus de 800 000 titres de référence et best-sellers dans les domaines du commerce, du développement personnel et des sciences humaines. Il comprend un temps de lecture illimité et la voix standard de la fonction Écouter.
- Complet est parfait pour les étudiants avancés et les chercheurs qui ont besoin d'un accès complet et illimité. Accédez à plus de 1,4 million de livres sur des centaines de sujets, y compris des titres académiques et spécialisés. L'abonnement Complet comprend également des fonctionnalités avancées telles que la fonction Écouter Premium et l'Assistant de recherche.
Nous sommes un service d'abonnement à des ouvrages universitaires en ligne, où vous pouvez accéder à toute une bibliothèque pour un prix inférieur à celui d'un seul livre par mois. Avec plus d'un million de livres sur plus de 990 sujets, nous avons ce qu'il vous faut ! En savoir plus sur notre mission
Recherchez le symbole Écouter sur votre prochain livre pour voir si vous pouvez l'écouter. L'outil Écouter lit le texte à haute voix pour vous, en surlignant le passage qui est en cours de lecture. Vous pouvez le mettre sur pause, l'accélérer ou le ralentir. En savoir plus sur la fonctionnalité Écouter
Oui ! Vous pouvez utiliser l'application Perlego sur les appareils iOS et Android pour lire à tout moment, n'importe où, même hors ligne. Parfait pour les trajets quotidiens ou lorsque vous êtes en déplacement.
Veuillez noter que nous ne pouvons pas prendre en charge les appareils fonctionnant sur iOS 13 et Android 7 ou versions antérieures. En savoir plus sur l'utilisation de l'application
Veuillez noter que nous ne pouvons pas prendre en charge les appareils fonctionnant sur iOS 13 et Android 7 ou versions antérieures. En savoir plus sur l'utilisation de l'application
Oui, vous pouvez accéder à Toxic Kids par Antoine Dreyfus en format PDF et/ou ePUB ainsi qu'à d'autres livres populaires dans Politique et relations internationales et Géopolitique. Nous disposons de plus d'un million d'ouvrages à découvrir dans notre catalogue.