British Medical Association Book Awards 2009 - First Prize Winner, Radiology CategoryFeaturing a practical, clinical approach – and written in a quick-access style – this portable, economical reference helps you build a strong foundation in chest x-ray interpretation. Three radiologists with years of clinical and teaching experience present fundamental principles and key anatomical concepts…walk you through examples of classic chest x-ray features that provide subtle evidence of abnormality…and explore a variety of problems and dilemmas common to everyday clinical practice. High-quality drawings and digital chest x-rays – combined with secrets from the radiologists' toolbox, helpful differential diagnoses, handy checklists, and key references – deliver all the assistance you need to enhance your interpretation skills.- Provides a strong foundation of essential knowledge for an informed, systematic approach to accurate chest x-ray interpretation.- Features the work of three radiologists who offer you the benefit of their many years of clinical and teaching experience.- Emphasizes common errors and misdiagnoses to help ensure correct image readings.- Presents step-by-step guidance in a bulleted, quick-access format, in short chapters focused on clinical problems, to make it easy to master the information that you need to know.- Makes difficult anatomic concepts easier to grasp by pairing radiographs with color line drawings.- Explains the nomenclature special to the field through a glossary of important terms.- Highlights the most important concepts in diagnosis/interpretation via Key Points in each chapter.

- 384 pages
- English
- ePUB (mobile friendly)
- Available on iOS & Android
eBook - ePub
The Chest X-Ray: A Survival Guide
About this book
Trusted by 375,005 students
Access to over 1.5 million titles for a fair monthly price.
Study more efficiently using our study tools.
Information
Topic
MedicinePart A
Core Knowledge
1 CHEST RADIOLOGY: THE BASIC BASICS
You will need a basic understanding of some of the technical factors affecting chest radiography, if only to recognise when a particular appearance arises not from pathology but from suboptimal technique. This chapter concentrates on the frontal CXR. We discuss the lateral CXR in Chapter 2.
THE RADIOGRAPHIC IMAGE
Table 1.1 Attenuation of the x-ray beam.
| Tissue absorption | Effect on the radiograph (see Fig. 1.1) | |
|---|---|---|
| Least | Air or gas | Black image |
![]() | Fat | Dark grey image |
| Soft tissue | Grey image | |
| Most | Bone or calcium | White image |
THE FRONTAL CXR
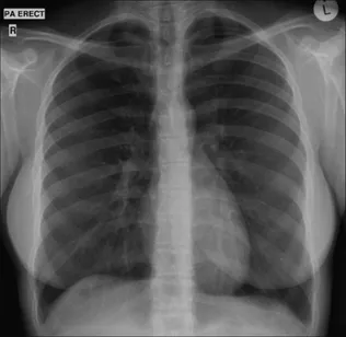
This standard CXR is obtained at a fixed distance between the x-ray tube and the cassette of 180 cm (6 ft). The patient faces the cassette and the x-ray beam passes through in the posterior to anterior direction, i.e. PA (Fig. 1.2).

Figure 1.1 Normal PA CXR. Standard radiographic technique allows comparison of the heart size on any previous or subsequent PA CXR.

Figure 1.2 Patient positioning for a standard PA CXR. The 180 cm (6 ft) x-ray tube to cassette distance results in a beam that is minimally divergent. In effect, the x-rays are parallel when they impact on the thorax.
The PA CXR is preferred because the radiographic technique is standard. This allows accurate and valid comparison between repeated PA CXRs.
If the patient is unable to stand erect then he faces the x-ray tube and an antero–posterior (AP) chest radiograph is obtained. AP CXRs are acquired:



Figure 1.3 Bedside (i.e. portable) radiograph, patient supine. AP CXR. The distance from the x-ray source to the cassette is much less than 180 cm (6 ft).

Figure 1.4 Frail patient. Departmental radiograph, patient sitting up. AP CXR.
THE BEDSIDE (PORTABLE) AP CXR HAS DISADVANTAGES
The AP CXR should always be interpreted with caution (Fig. 1.5). The following factors may cause misleading appearances:


Table of contents
- Cover
- Title Page
- Front Matter
- Copyright
- PREFACE
- ACKNOWLEDGEMENTS
- REFERENCE: NORMAL CXR
- Table of Contents
- Part A: Core Knowledge
- Part B: Clinical Problems
- INDEX
Frequently asked questions
Yes, you can cancel anytime from the Subscription tab in your account settings on the Perlego website. Your subscription will stay active until the end of your current billing period. Learn how to cancel your subscription
No, books cannot be downloaded as external files, such as PDFs, for use outside of Perlego. However, you can download books within the Perlego app for offline reading on mobile or tablet. Learn how to download books offline
Perlego offers two plans: Essential and Complete
- Essential is ideal for learners and professionals who enjoy exploring a wide range of subjects. Access the Essential Library with 800,000+ trusted titles and best-sellers across business, personal growth, and the humanities. Includes unlimited reading time and Standard Read Aloud voice.
- Complete: Perfect for advanced learners and researchers needing full, unrestricted access. Unlock 1.5M+ books across hundreds of subjects, including academic and specialized titles. The Complete Plan also includes advanced features like Premium Read Aloud and Research Assistant.
We are an online textbook subscription service, where you can get access to an entire online library for less than the price of a single book per month. With over 1.5 million books across 990+ topics, we’ve got you covered! Learn about our mission
Look out for the read-aloud symbol on your next book to see if you can listen to it. The read-aloud tool reads text aloud for you, highlighting the text as it is being read. You can pause it, speed it up and slow it down. Learn more about Read Aloud
Yes! You can use the Perlego app on both iOS and Android devices to read anytime, anywhere — even offline. Perfect for commutes or when you’re on the go.
Please note we cannot support devices running on iOS 13 and Android 7 or earlier. Learn more about using the app
Please note we cannot support devices running on iOS 13 and Android 7 or earlier. Learn more about using the app
Yes, you can access The Chest X-Ray: A Survival Guide by Gerald de Lacey,Simon Morley,Laurence Berman in PDF and/or ePUB format, as well as other popular books in Medicine & Radiology, Radiotherapy & Nuclear Medicine. We have over 1.5 million books available in our catalogue for you to explore.
