Mit Beiträgen von: Björn Ludwig, Jens J. Bock, Simon Graf, Dirk WiechmannDas nach Emil Herbst benannte Herbst-Scharnier wird seit Beginn des 20. Jahrhunderts zur Behandlung des Distalbisses erfolgreich angewandt und ist heute eine der häufigsten eingesetzten festsitzenden Apparaturen. Sie ist mit anderen Behandlungskonzepten kombinierbar und die Mitarbeit des Patienten ist für die korrekte Funktion der Apparatur nicht erforderlich.Prof. Hans Pancherz hat sich über Jahrzehnte diesem festsitzenden funktionskieferorthopädischen Gerät gewidmet und die Wirksamkeit zur Behandlung des Distalbisses durch umfangreiche wissenschaftliche Studien belegt. Die Kapitel in diesem Buch sind ein Extrakt dieses Lebenswerkes und beschreiben neben klaren Indikationen und Limitationen auch die verschiedenen Gestaltungsmöglichkeiten der Herbst-Apparatur.Ein zusätzliches Kapitel der Autorengruppe um Dr. Björn Ludwig zeigt die Überführung der beschriebenen Gerätevarianten in die digitale Kieferorthopädie, die dank der fortgeschrittenen Entwicklungen im Bereich der CAD/CAM-Herstellungsprozesse nun auch eine vielfältigere, ökonomischere und leichter zugängliche Herstellungsweise der Apparatur möglich macht.

- 192 Seiten
- German
- ePUB (handyfreundlich)
- Über iOS und Android verfügbar
eBook - ePub
Über dieses Buch
375,005 Studierende vertrauen auf uns
Zugang zu über 1 Million Titeln zu einem fairen monatlichen Preis.
Mit unseren Lerntools kannst du noch effizienter lernen.
Information
Thema
MedizinThema
Kieferorthopädie1
Mystik der Funktionskieferorthopädie
Einleitung
Es gibt in der Kieferorthopädie viele Aussagen, die sich – ohne dass sie wissenschaftlich überprüft worden sind – mit den Jahren zu unwidersprochenen Dogmen entwickelt haben.
Dieser Artikel beschäftigt sich mit vier ausgewählten Doktrinen, bei denen es unsicher ist, ob sie in der modernen Kieferorthopädie noch Gültigkeit haben. Im Bereich der Distalbiss-Behandlung mit funktionskieferorthopädischen (FKO) Mitteln werden folgende mysteriöse Fragethemen angesprochen:
1.Wie definiert man ein FKO-Gerät?
2.Hat das Ausmaß und die Art der Unterkiefervorverlagerung eine Bedeutung für die FKO-Behandlung?
3.Kann das Unterkieferwachstum durch eine FKO-Behandlung stimuliert werden?
4.Sind abnehmbare oder festsitzende FKO-Geräte zu bevorzugen?
Was ist ein FKO-Gerät?
Es wird seit Einführung des Aktivators in die Kieferorthopädie1 behauptet: (1) Bei FKO-Geräten werden funktionelle Kräfte zum Gewebeumbau eingesetzt und es werden keine aktiv mechanischen Kräfte verwendet. (2) Körpereigene Kräfte, ausgelöst durch Muskelimpulse, werden auf Kieferbasen, Alveolarfortsätze und Zähne übertragen. (3) Das Kontraktionsmuster der Muskulatur normalisiert sich bei einer FKO-Behandlung. (4) Nur abnehmbare Geräte, die nicht mit Halteelementen an den Zähnen befestigt sind, kommen als FKO-Geräte infrage.
Seit der Wiedereinführung der Herbst-Apparatur in die moderne Kieferorthopädie2 wird die Apparatur in der englischen Literatur als „fixed functional appliance“ bezeichnet. Die Herbst-Apparatur arbeitet nicht mithilfe der Muskulatur, sie normalisiert aber ein abweichendes Kontraktionsmuster der Masseter- und Temporalis-Muskulatur während der Behandlung3.
Betrachtet man abnehmbare und festsitzende FKO-Geräte näher fällt auf, dass alle Geräte (abnehmbare wie auch festsitzende) bei der Klasse-II-Behandlung, nach dem Prinzip des Bite Jumpings4 arbeiten. Das Prinzip bedeutet eine Veränderung der sagittalen intermaxillären Zahnbogenrelation durch eine Vorverlagerung des Unterkiefers. Bei abnehmbaren FKO-Geräten ist es ein funktionelles Jumping (der Unterkiefer wird, gesteuert durch die Apparatur, mithilfe der Kaumuskelaktivität funktionell nach anterior verlagert). Bei festsitzenden FKO-Geräten ist es ein mechanisches Jumping (der Unterkiefer wird mechanisch anhand festsitzender teleskopierender Schienen zwangsweise nach anterior verlagert).
Somit kann festgestellt werden, dass eine FKO-Apparatur jede Apparatur (abnehmbar oder festsitzend) ist, die das Bite-Jumping-Prinzip verwendet, und dass die Muskelfunktion aufgrund der Unterkiefervorverlagerung aktiviert wird.
Die meistbekannten abnehmbaren FKO-Geräte sind der Aktivator1, der Bionator5 und der Funktionsregler (Abb. 1)6. Bei den festsitzenden FKO-Geräten sind vor allem die Herbst-Apparatur2,7, der Jasper Jumper8 und die Forsus-Feder (Forsus Fatigue Resistence Device)9 zu nennen (Abb. 2).



Abb. 1a bis c Beispiele von drei abnehmbaren FKO-Geräten: a) Aktivator, b) Bionator und c) Funktionsregler.



Abb. 2a bis c Beispiele von drei festsitzenden FKO-Geräten: a) Herbst-Apparatur, b) Jasper Jumper und c) Forsus Fatigue Resistance Device.
Da der Aktivator (bei den abnehmbaren Apparaturen) und die Herbst-Apparatur (bei den festsitzenden Apparaturen) die am häufigsten untersuchten FKO-Geräte sind, wird in der weiteren Darstellung hauptsächlich von diesen beiden Geräten (Aktivator und Herbst) gesprochen.
Ausmaß und Art der Unterkieferverlagerung
Bei einer Distalbiss-Behandlung werden in der Literatur das Ausmaß und die Art der Unterkieferverlagerung in der vertikalen und sagittalen Ebene häufig diskutiert. Dabei wird die Bedeutung der Muskulatur hervorgehoben, aber der Zusammenhang zwischen Unterkieferverlagerung und Muskelfunktion ist, wie oben erwähnt, größtenteils unklar.
Unterkieferverlagerung in der vertikalen Ebene
Bei der Aktivator-Behandlung soll angeblich die Höhe des Konstruktionsbisses wichtig sein. Drei Konzepte werden in der Literatur kontrovers besprochen:
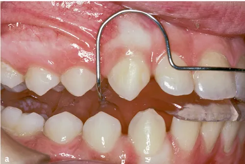
1.Bei einem niedrigen Konstruktionsbiss (2–4 mm), innerhalb der Ruheschwebelage des Unterkiefers (Abb. 3a), wird die myostatische Reflexaktivität angeregt und intermittierende Kräfte sind wirksam1.



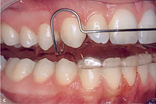
Abb. 3a bis c Intraorale Fotos von drei Aktivator-Patienten mit unterschiedlich hohen Konstruktionsbissen: a) Niedriger Konstruktionsbiss (2–4 mm)1, b) hoher Konstruktionsbiss (15–20 mm)10 und c) mittelhoher Konstruktionsbiss (5–7 mm)11.
2.Bei einem sehr hohen Konstruktionsbiss (15–20 mm), weit außerhalb der Unterkiefer-Ruheschwebelage (Abb. 3b), wird die tonische Spannung der gestreckten Muskulatur erhöht und kontinuierliche Kräfte wirken auf die Zähne10. Der Aktivator ist wie ein Splint zwischen die Zahnreihen eingeklemmt. Der sehr hohe Konstruktionsbiss wird vor allem in Amerika verwendet.
3.Bei einem mittelhohen Konstruktionsbiss (5–7 mm), 1 bis 2 mm außerhalb der Unterkiefer-Ruheschwebelage (Abb. 3c), können sowohl die myostatische Reflexaktivität als auch die vergrößerte tonische Muskelspannung wirksam sein11. Der mittelhohe Konstruktionsbiss wird vor allem in Europa verwendet.
Welches der drei Konzepte das richtige ist, verbleibt ein Mysterium. Trotz vieler Publikationen liegen keine beweiskräftigen Forschungsergebnisse vor, welche die Theorie stützen, dass die Höhe des Konstruktionsbisses für eine erfolgreiche Aktivator-Behandlung entscheidend ist.
Im Gegensatz zum Aktivator wirkt die Herbst-Apparatur mithilfe von mechanischen Kräften und nicht mithilfe der Muskulatur. Das Ausmaß der vertikalen Bissöffnung wird bei der Unterkiefervorverlagerung durch den vertikalen Frontzahnüberbiss (Overbite) bestimmt.
Zusammenfassend kann gesagt werden, dass die Rolle der Höhe des Konstruktionsbisses, bei der FKO-Therapie mit abnehmbaren Geräten (Aktivator), immer noch ein Mysterium ist. Bei festsitzenden FKO-Geräten (Herbst) ist die Höhe der vertikalen Bisssperre durch den Overbite bedingt.
Unterkieferverlagerung in der sagittalen Ebene
...Inhaltsverzeichnis
- Cover
- Titel Seite
- Copyright Seite
- Geleitwort
- Vorwort
- Autoren
- Inhalt
- 1 Mystik der Funktionskieferorthopädie
- 2 Wenn der Aktivator versagt – was tun?
- 3 Schrittweises Bite Jumping bis zum frontalen Kreuzbiss bei der Herbst-Behandlung
- 4 Extreme Klasse-II-Überkorrektur ohne nachfolgende Retention bei der Herbst-Behandlung
- 5 Initiale Probleme beim Tragen einer Herbst-Apparatur
- 6 Herbst-Behandlung der unilateralen Klasse-II-Dysgnathie
- 7 Effiziente Behandlung des Deckbisses (Klasse II:2)
- 8 „Headgear-Effekt“ der Herbst-Apparatur
- 9 Multibracket-Apparatur-Therapie bei ausgeprägten Klasse-II-Dysgnathien – immer mit einer Herbst-Vorbehandlung
- 10 Herbst-Behandlung mit Extraktion von vier Prämolaren
- 11 Der Unterkiefer-Frontengstand – ein ungelöstes kieferorthopädisches Problem
- 12 Extraktion eines Inzisivus im Unterkiefer bei der Herbst-Behandlung
- 13 Behandlung von erwachsenen Klasse-II-Dysgnathien
- 14 Das Angle-Klasse-II-Gesichtsprofil und die Herbst-Apparatur
- 15 Die Herbst-Apparatur und das Kiefergelenk
- 16 Kauleistung und Kaumuskelaktivität bei der Aktivator- und der Herbst-Behandlung
- 17 Rezidiv nach der Herbst-Behandlung
- 18 Der Bisstyp – eine erweiterte Angle-Klassifikation
- 19 CAD/CAM: Die nächste Evolutionsstufe für das Herbst-Geschiebe
Häufig gestellte Fragen
Ja, du kannst dein Abo jederzeit über den Tab Abo in deinen Kontoeinstellungen auf der Perlego-Website kündigen. Dein Abo bleibt bis zum Ende deines aktuellen Abrechnungszeitraums aktiv. Erfahre, wie du dein Abo kündigen kannst
Nein, Bücher können nicht als externe Dateien, z. B. PDFs, zur Verwendung außerhalb von Perlego heruntergeladen werden. Du kannst jedoch Bücher in der Perlego-App herunterladen, um sie offline auf deinem Smartphone oder Tablet zu lesen. Erfahre, wie du Bücher herunterladen kannst, um sie offline zu lesen
Perlego bietet zwei Abopläne an: Elementar und Erweitert
- Elementar ist ideal für Lernende und Profis, die sich mit einer Vielzahl von Themen beschäftigen möchten. Erhalte Zugang zur Basic-Bibliothek mit über 800.000 vertrauenswürdigen Titeln und Bestsellern in den Bereichen Wirtschaft, persönliche Weiterentwicklung und Geisteswissenschaften. Enthält unbegrenzte Lesezeit und die Standardstimme für die Funktion „Vorlesen“.
- Pro: Perfekt für fortgeschrittene Lernende und Forscher, die einen vollständigen, uneingeschränkten Zugang benötigen. Schalte über 1,4 Millionen Bücher zu Hunderten von Themen frei, darunter akademische und hochspezialisierte Titel. Das Pro-Abo umfasst auch erweiterte Funktionen wie Premium-Vorlesen und den Recherche-Assistenten.
Wir sind ein Online-Lehrbuch-Abo, bei dem du für weniger als den Preis eines einzelnen Buches pro Monat Zugang zu einer ganzen Online-Bibliothek erhältst. Mit über 1 Million Büchern zu über 990 verschiedenen Themen haben wir bestimmt alles, was du brauchst! Erfahre mehr über unsere Mission
Achte auf das Symbol zum Vorlesen bei deinem nächsten Buch, um zu sehen, ob du es dir auch anhören kannst. Bei diesem Tool wird dir Text laut vorgelesen, wobei der Text beim Vorlesen auch grafisch hervorgehoben wird. Du kannst das Vorlesen jederzeit anhalten, beschleunigen und verlangsamen. Erfahre mehr über die Funktion „Vorlesen“
Ja! Du kannst die Perlego-App sowohl auf iOS- als auch auf Android-Geräten nutzen, damit du jederzeit und überall lesen kannst – sogar offline. Perfekt für den Weg zur Arbeit oder wenn du unterwegs bist.
Bitte beachte, dass wir Geräte, auf denen die Betriebssysteme iOS 13 und Android 7 oder noch ältere Versionen ausgeführt werden, nicht unterstützen können. Mehr über die Verwendung der App erfahren
Bitte beachte, dass wir Geräte, auf denen die Betriebssysteme iOS 13 und Android 7 oder noch ältere Versionen ausgeführt werden, nicht unterstützen können. Mehr über die Verwendung der App erfahren
Ja, du hast Zugang zu Die Herbst-Apparatur von Hans Pancherz im PDF- und/oder ePub-Format sowie zu anderen beliebten Büchern aus Medizin & Kieferorthopädie. Aus unserem Katalog stehen dir über 1 Million Bücher zur Verfügung.